相关产品推荐更多 >
万千商家帮你免费找货
0 人在求购买到急需产品
- 详细信息
- 技术资料
- 免疫原:
The antiserum was produced against synthesized peptide derived from human Progesterone Receptor.
- 形态:
liquid
- 保存条件:
Store at -20˚C
- 克隆性:
Polyclonal
- 适应物种:
Human;Mouse;Rat
- 保质期:
12 months
- 抗原来源:
Rabbit
- 供应商:
南京赛戈巍生物科技有限公司
- 宿主:
Rabbit
- 应用范围:
WB;IHC;IF/ICC;ELISA
- 抗体英文名:
PR Polyclonal Antibody
- 规格:
50ul/100ul
配方:Liquid in PBS containing 50% glycerol, 0.5% BSA and 0.02% sodium azide.
应用详情:
Western Blot: 1/500 - 1/2000.
Immunohistochemistry: 1/100 - 1/300.
Immunofluorescence: 1/200 - 1/1000.
ELISA: 1/5000.
图片:
![PR Polyclonal Antibody[44262]](https://img1.dxycdn.com/p/s14/2025/0922/393/4473621707940699691.png)
Western Blot analysis of various cells using PR Polyclonal Antibody
,
![PR Polyclonal Antibody[44262]](https://img1.dxycdn.com/p/s14/2025/0922/083/2990470577940699691.png)
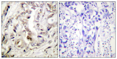
Immunohistochemistry analysis of paraffin-embedded human breast carcinoma tissue, using Progesterone Receptor Antibody. The picture on the right is blocked with the synthesized peptide.
,
![PR Polyclonal Antibody[44262]](https://img1.dxycdn.com/p/s14/2025/0922/625/6925394577940699691.png)
Immunofluorescence analysis of A549 cells, using Progesterone Receptor Antibody.
风险提示:丁香通仅作为第三方平台,为商家信息发布提供平台空间。用户咨询产品时请注意保护个人信息及财产安全,合理判断,谨慎选购商品,商家和用户对交易行为负责。对于医疗器械类产品,请先查证核实企业经营资质和医疗器械产品注册证情况。
技术资料暂无技术资料 索取技术资料


![PR Polyclonal Antibody[44262]](https://img1.dxycdn.com/p/s14/2025/0922/632/2321321568067599691.jpg)


![PIP5K1C Conjugated Antibody[C37375]](https://img1.dxycdn.com/p/s14/2025/0923/278/4431488150116040791.jpg!wh200)
![IL12/Biotin Conjugated antibody[C92919B]](https://img1.dxycdn.com/p/s14/2025/0922/632/2321321568067599691.jpg!wh200)
![Glutathione Peroxidase 1 Antibody[48490]](https://img1.dxycdn.com/p/s14/2025/0923/496/0462304380155040791.jpg!wh200)
![ZNRD1 Antibody[43369]](https://img1.dxycdn.com/p/s14/2025/0922/568/0046652811090600791.jpg!wh200)
![IKK alpha Rabbit Polyclonal Antibody[53037]](https://img1.dxycdn.com/p/s14/2025/0922/498/0460884283108299691.jpg!wh200)
