相关产品推荐更多 >
万千商家帮你免费找货
0 人在求购买到急需产品
- 详细信息
- 技术资料
- 免疫原:
Recombinant fusion protein of human AP1M2 (NP_005489.2).
- 形态:
liquid
- 保存条件:
Store at -20˚C
- 克隆性:
Polyclonal
- 适应物种:
Human;Mouse
- 保质期:
12 months
- 抗原来源:
Rabbit
- 供应商:
南京赛戈巍生物科技有限公司
- 宿主:
Rabbit
- 应用范围:
WB,IF
- 靶点:
Uniprot:Q9Y6Q5
- 抗体英文名:
AP1M2 Polyclonal Antibody
- 规格:
50ul/100ul
别名:AP1M2;AP1-mu2;HSMU1B;MU-1B;MU1B;mu2
计算分子量:48kDa
配方:PBS with 0.02% sodium azide,50% glycerol,pH7.3.
应用详情:WB 1:500 - 1:2000
IF 1:50 - 1:200
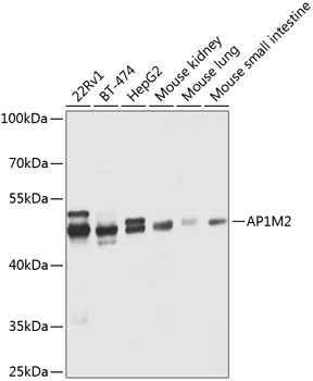
图片:
计算分子量:48kDa
配方:PBS with 0.02% sodium azide,50% glycerol,pH7.3.
应用详情:WB 1:500 - 1:2000
IF 1:50 - 1:200
图片:

Western blot analysis of extracts of various cell lines, using AP1M2 antibody.
,

Confocal immunofluorescence analysis of U2OS cells using AP1M2 Polyclonal Antibody.
风险提示:丁香通仅作为第三方平台,为商家信息发布提供平台空间。用户咨询产品时请注意保护个人信息及财产安全,合理判断,谨慎选购商品,商家和用户对交易行为负责。对于医疗器械类产品,请先查证核实企业经营资质和医疗器械产品注册证情况。
技术资料暂无技术资料 索取技术资料
AP1M2 Polyclonal Antibody[31513]
询价


![AP1M2 Polyclonal Antibody[31513]](https://img1.dxycdn.com/p/s14/2025/0923/305/2150219664296040791.jpg)


![TRAF4 Conjugated Antibody[C47224]](https://img1.dxycdn.com/p/s14/2025/0923/278/4431488150116040791.jpg!wh200)
![MRPL16 Antibody[34320]](https://img1.dxycdn.com/p/s14/2025/0922/359/6146153295428599691.jpg!wh200)
![Angiopoietin Like 4 Rabbit mAb[52143]](https://img1.dxycdn.com/p/s14/2025/0922/498/0460884283108299691.jpg!wh200)
![ICAM2 / CD102 Rabbit mAb[57049]](https://img1.dxycdn.com/p/s14/2025/0922/632/2321321568067599691.jpg!wh200)
