相关产品推荐更多 >
万千商家帮你免费找货
0 人在求购买到急需产品
- 详细信息
- 技术资料
- 免疫原:
Recombinant fusion protein of human COQ3 (NP_059117.3).
- 形态:
liquid
- 保存条件:
Store at -20˚C
- 克隆性:
Polyclonal
- 适应物种:
Human;Mouse;Rat
- 保质期:
12 months
- 抗原来源:
Rabbit
- 供应商:
南京赛戈巍生物科技有限公司
- 宿主:
Rabbit
- 应用范围:
WB,IF
- 靶点:
Uniprot:Q9NZJ6
- 抗体英文名:
COQ3 Polyclonal Antibody
- 规格:
50ul/100ul
别名:COQ3;DHHBMT;DHHBMTASE;UG0215E05;bA9819.1;coenzyme Q3
计算分子量:32kDa/41kDa
配方:PBS with 0.02% sodium azide,50% glycerol,pH7.3.
应用详情:WB 1:500 - 1:2000
IF 1:50 - 1:200
图片:
计算分子量:32kDa/41kDa
配方:PBS with 0.02% sodium azide,50% glycerol,pH7.3.
应用详情:WB 1:500 - 1:2000
IF 1:50 - 1:200
图片:

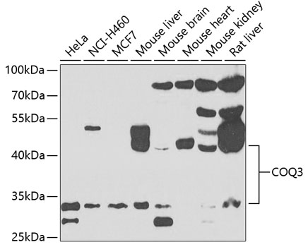
Western blot analysis of extracts of various cell lines, using COQ3 antibody.
,

Immunofluorescence analysis of A549 cells using COQ3 antibody.
风险提示:丁香通仅作为第三方平台,为商家信息发布提供平台空间。用户咨询产品时请注意保护个人信息及财产安全,合理判断,谨慎选购商品,商家和用户对交易行为负责。对于医疗器械类产品,请先查证核实企业经营资质和医疗器械产品注册证情况。
技术资料暂无技术资料 索取技术资料
COQ3 Polyclonal Antibody[30937]
询价


![COQ3 Polyclonal Antibody[30937]](https://img1.dxycdn.com/p/s14/2025/0923/305/2150219664296040791.jpg)


![AFAP1 Conjugated Antibody[C36056]](https://img1.dxycdn.com/p/s14/2025/0923/278/4431488150116040791.jpg!wh200)
![PLA2G16 Antibody[43690]](https://img1.dxycdn.com/p/s14/2025/0922/568/0046652811090600791.jpg!wh200)
![Integrin alpha 5 Polyclonal Antibody Biotin Conjugated[C90238Bio]](https://img1.dxycdn.com/p/s14/2025/0922/498/0460884283108299691.jpg!wh200)
