相关产品推荐更多 >
万千商家帮你免费找货
0 人在求购买到急需产品
- 详细信息
- 文献和实验
- 技术资料
- 免疫原:
A synthetic peptide of human Acetyl-Histone H4-K8
- 形态:
liquid
- 保存条件:
Store at -20˚C
- 克隆性:
Polyclonal
- 适应物种:
Human;Mouse;Rat
- 保质期:
12 months
- 抗原来源:
Rabbit
- 供应商:
南京赛戈巍生物科技有限公司
- 宿主:
Rabbit
- 应用范围:
WB,IHC,IF
- 靶点:
Uniprot:P62805
- 抗体英文名:
Acetyl-Histone H4-K8 pAb
- 规格:
50ul/100ul
计算分子量:11kDa
配方:Avoid freeze / thaw cycles.|Buffer: PBS with 50% glycerol, pH7.4.
应用详情:WB 1:1000 - 1:3000
IHC 1:200 - 1:500
IF 1:500 - 1:1000
IP 1:200 - 1:500
ChIP 1:20 - 1:50
ChIPseq 1:20 - 1:50
图片:

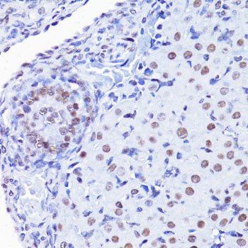
Immunohistochemistry of paraffin-embedded rat ovary using H4K8ac antibody at dilution of 1:100 (40x lens).
,

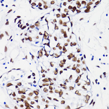
Immunohistochemistry of paraffin-embedded human breast using H4K8ac antibody at dilution of 1:100 (40x lens).
,

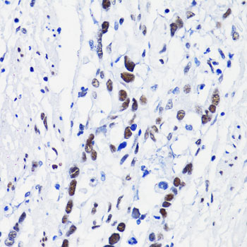
Immunohistochemistry of paraffin-embedded human gastric cancer using H4K8ac antibody at dilution of 1:100 (40x lens).
,

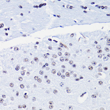
Immunohistochemistry of paraffin-embedded mouse brain using H4K8ac antibody at dilution of 1:100 (40x lens).
,

Western blot analysis of extracts of various cell lines, using Acetyl-Histone H4-K8 antibody at 1:1000 dilution.
,

Immunofluorescence analysis of HeLa cells using Acetyl-Histone H4-K8 antibody. Blue: DAPI for nuclear staining.
风险提示:丁香通仅作为第三方平台,为商家信息发布提供平台空间。用户咨询产品时请注意保护个人信息及财产安全,合理判断,谨慎选购商品,商家和用户对交易行为负责。对于医疗器械类产品,请先查证核实企业经营资质和医疗器械产品注册证情况。
文献和实验Strain Construction and Screening Methods for a Yeast Histone H3/H4 Mutant Library
A mutant library consisting of hundreds of designed point and deletion mutants in the genes encoding Saccharomyces cerevisiae histones H3 and H4 is described. Incorporation of this library into a suitably engineered yeast strain (e.g
Histone Acetylation and Deacetylation
transcription (1 ,2 ). DNA is packaged into chromatin, a highly organized and dynamic protein-DNA complex. The fundamental subunit of chromatin, the nucleosome, is composed of an octomer of four core histones, an H3/H4 tetramer and two H2A/H2B dimers, surrounded
, H4 。组蛋白的总重量和 DNA 的总重量大致相等,这个总量和比例在各种真核细胞中都是如此。
技术资料暂无技术资料 索取技术资料





![Flg (Phospho-Tyr654) Polyclonal Antibody[12267]](https://img1.dxycdn.com/p/s14/2025/0922/568/0046652811090600791.jpg!wh200)
![LHX9 Polyclonal Antibody[27763]](https://img1.dxycdn.com/p/s14/2025/0923/305/2150219664296040791.jpg!wh200)

![DLG4 Conjugated Antibody[C37222]](https://img1.dxycdn.com/p/s14/2025/0923/278/4431488150116040791.jpg!wh200)


