相关产品推荐更多 >
万千商家帮你免费找货
0 人在求购买到急需产品
- 详细信息
- 文献和实验
- 技术资料
- 免疫原:
A synthetic peptide of human Acetyl-Histone H3-K9
- 形态:
liquid
- 保存条件:
Store at -20˚C
- 克隆性:
Polyclonal
- 适应物种:
Human;Mouse;Rat
- 保质期:
12 months
- 抗原来源:
Rabbit
- 供应商:
南京赛戈巍生物科技有限公司
- 宿主:
Rabbit
- 应用范围:
WB,IHC,IF
- 靶点:
Uniprot:Q16695
- 抗体英文名:
Acetyl-Histone H3-K9 pAb
- 规格:
50ul/100ul
计算分子量:16kDa
配方:Avoid freeze / thaw cycles.|Buffer: PBS with 50% glycerol, pH7.4.
应用详情:WB 1:500 - 1:2000
IHC 1:50 - 1:200
IF 1:50 - 1:200
IP 1:50 - 1:200
ChIP 1:20 - 1:100
ChIPseq 1:20 - 1:50
图片:

Western blot analysis of extracts of various cell lines, using Acetyl-Histone H3-K9 antibody at 1:1000 dilution. Both NIH/3T3 cells and C6 cells were treated by TSA (1 uM) at 37?? for 18 hours.
,

Immunofluorescence analysis of HeLa cells using Acetyl-Histone H3-K9 antibody at dilution of 1:100 (40x lens). HeLa cells were treated by TSA (1 uM) at 37?? for 18 hours (left). Blue: DAPI for nuclear staining.
,

Immunofluorescence analysis of NIH/3T3 cells using Acetyl-Histone H3-K9 antibody at dilution of 1:100 (40x lens). NIH/3T3 cells were treated by TSA (1 uM) at 37?? for 18 hours (left). Blue: DAPI for nuclear staining.
,

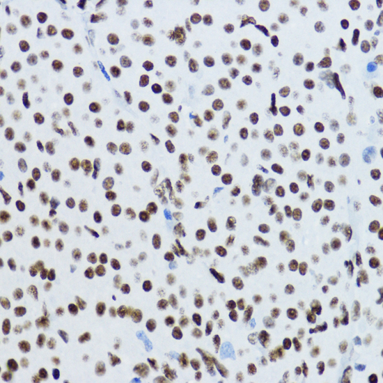
Immunohistochemistry of paraffin-embedded human mammary cancer using Acetyl-Histone H3-K9 antibody at dilution of 1:200 (40x lens).
,

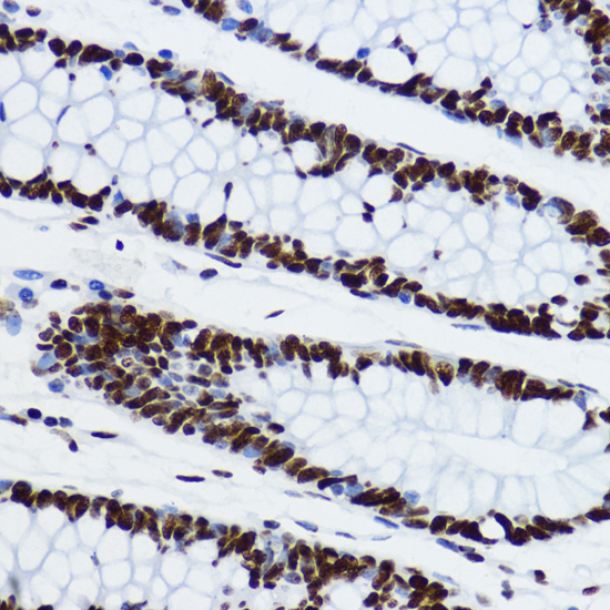
Immunohistochemistry of paraffin-embedded human colon using Acetyl-Histone H3-K9 antibody at dilution of 1:200 (40x lens).
,

Immunohistochemistry of paraffin-embedded rat ovary using Acetyl-Histone H3-K9 antibody at dilution of 1:200 (40x lens).
,

Immunohistochemistry of paraffin-embedded mouse brain using Acetyl-Histone H3-K9 antibody at dilution of 1:200 (40x lens).
风险提示:丁香通仅作为第三方平台,为商家信息发布提供平台空间。用户咨询产品时请注意保护个人信息及财产安全,合理判断,谨慎选购商品,商家和用户对交易行为负责。对于医疗器械类产品,请先查证核实企业经营资质和医疗器械产品注册证情况。
文献和实验Detection of Histone H3 Phosphorylation in Cultured Cells and Tissue Sections by Immunostaining
Growth factor stimulation results in phosphorylation of histone H3 at ser 10 and this correlated with expression of immediate early genes suggesting that this phosphorylation is associated with transcriptional activation. Although Western
Genome-Wide Measurement of Histone H3 Replacement Dynamics in Yeast
chromatin. Understanding the dynamic behavior of chromatin is of great interest for fields ranging from transcriptional regulation through meiosis and gametogenesis. Here, we describe a protocol for measuring histone replacement rates genome wide
FACS-Based Detection of Phosphorylated Histone H3 for the Quantitation of Mitotic Cells
The G2 checkpoint blocks cells from entering mitosis when DNA is damaged, and helps to protect the integrity of the genome. Tumor cells contain mutations that can inactivate checkpoints, and the inactivation of the G2 checkpoint can induce
技术资料暂无技术资料 索取技术资料





![Rad50 Polyclonal Antibody[41380]](https://img1.dxycdn.com/p/s14/2025/0922/568/0046652811090600791.jpg!wh200)
![NANOS2 Antibody[36630]](https://img1.dxycdn.com/p/s14/2025/0922/359/6146153295428599691.jpg!wh200)
![PDGFR alpha Conjugated Antibody[C49363]](https://img1.dxycdn.com/p/s14/2025/0923/305/2150219664296040791.jpg!wh200)
![CD34 Polyclonal Antibody PE-Cy7 Conjugated[C90262PE-Cy7]](https://img1.dxycdn.com/p/s14/2025/0922/498/0460884283108299691.jpg!wh200)

