相关产品推荐更多 >
万千商家帮你免费找货
0 人在求购买到急需产品
- 详细信息
- 技术资料
- 免疫原:
Recombinant fusion protein of human PDE6B (NP_001138763.1).
- 形态:
liquid
- 保存条件:
Store at -20˚C
- 克隆性:
Polyclonal
- 适应物种:
Human;Mouse;Rat
- 保质期:
12 months
- 抗原来源:
Rabbit
- 供应商:
南京赛戈巍生物科技有限公司
- 宿主:
Rabbit
- 应用范围:
WB,IHC,IF
- 靶点:
Uniprot:P35913
- 抗体英文名:
PDE6B Polyclonal Antibody
- 规格:
50ul/100ul
别名:PDE6B; CSNB3; CSNBAD2; PDEB; RP40; rd1; GMP-PDEbeta; phosphodiesterase 6B
计算分子量:98kDa
配方:Avoid freeze / thaw cycles.|Buffer: PBS with 50% glycerol, pH7.4.
应用详情:WB 1:500 - 1:2000
IHC 1:50 - 1:100
IF 1:50 - 1:100
图片:
计算分子量:98kDa
配方:Avoid freeze / thaw cycles.|Buffer: PBS with 50% glycerol, pH7.4.
应用详情:WB 1:500 - 1:2000
IHC 1:50 - 1:100
IF 1:50 - 1:100
图片:

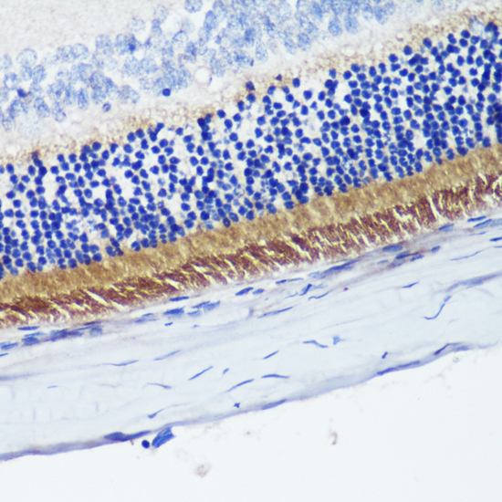
Western blot analysis of extracts of various cell lines, using PDE6B antibody.
,

Immunohistochemistry of paraffin-embedded rat retina using PDE6B antibody.
,

Immunohistochemistry of paraffin-embedded mouse retina using PDE6B antibody.
风险提示:丁香通仅作为第三方平台,为商家信息发布提供平台空间。用户咨询产品时请注意保护个人信息及财产安全,合理判断,谨慎选购商品,商家和用户对交易行为负责。对于医疗器械类产品,请先查证核实企业经营资质和医疗器械产品注册证情况。
技术资料暂无技术资料 索取技术资料
PDE6B Polyclonal Antibody[30765]
询价


![PDE6B Polyclonal Antibody[30765]](https://img1.dxycdn.com/p/s14/2025/0923/305/2150219664296040791.jpg)


![PKC alpha Rabbit mAb[48808]](https://img1.dxycdn.com/p/s14/2025/0923/496/0462304380155040791.jpg!wh200)
![LATH Antibody[33955]](https://img1.dxycdn.com/p/s14/2025/0922/359/6146153295428599691.jpg!wh200)
![ROS1 Rabbit Polyclonal Antibody[29695]](https://img1.dxycdn.com/p/s14/2025/0922/498/0460884283108299691.jpg!wh200)
