相关产品推荐更多 >
万千商家帮你免费找货
0 人在求购买到急需产品
- 详细信息
- 技术资料
- 免疫原:
Recombinant fusion protein of human AQR (NP_055506.1).
- 形态:
liquid
- 保存条件:
Store at -20˚C
- 克隆性:
Polyclonal
- 适应物种:
Human;Mouse;Rat
- 保质期:
12 months
- 抗原来源:
Rabbit
- 供应商:
南京赛戈巍生物科技有限公司
- 宿主:
Rabbit
- 应用范围:
WB,IHC
- 靶点:
Uniprot:O60306
- 抗体英文名:
AQR Polyclonal Antibody
- 规格:
50ul/100ul
别名:AQR; IBP160; fSAP164; intron-binding protein aquarius
计算分子量:171kDa
配方:Avoid freeze / thaw cycles.|Buffer: PBS with 50% glycerol, pH7.4.
应用详情:WB 1:500 - 1:1000
IHC 1:50 - 1:100
图片:
计算分子量:171kDa
配方:Avoid freeze / thaw cycles.|Buffer: PBS with 50% glycerol, pH7.4.
应用详情:WB 1:500 - 1:1000
IHC 1:50 - 1:100
图片:
![AQR Polyclonal Antibody[30691]](https://img1.dxycdn.com/p/s14/2025/0923/739/4830274242752340791.jpg)
Western blot analysis of extracts of various cell lines, using AQR antibody.
,
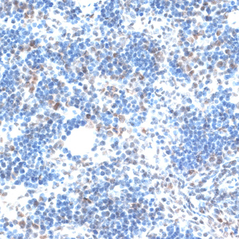
![AQR Polyclonal Antibody[30691]](https://img1.dxycdn.com/p/s14/2025/0923/326/0217576892752340791.jpg)
Immunohistochemistry of paraffin-embedded rat spleen using AQR antibody.
,
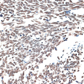
![AQR Polyclonal Antibody[30691]](https://img1.dxycdn.com/p/s14/2025/0923/444/0428922792752340791.jpg)
Immunohistochemistry of paraffin-embedded human lung cancer using AQR antibody.
,
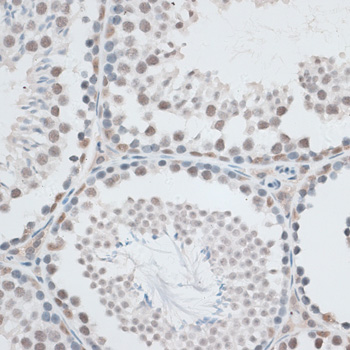
![AQR Polyclonal Antibody[30691]](https://img1.dxycdn.com/p/s14/2025/0923/587/0487682552752340791.jpg)
Immunohistochemistry of paraffin-embedded mouse testis using AQR antibody.
风险提示:丁香通仅作为第三方平台,为商家信息发布提供平台空间。用户咨询产品时请注意保护个人信息及财产安全,合理判断,谨慎选购商品,商家和用户对交易行为负责。对于医疗器械类产品,请先查证核实企业经营资质和医疗器械产品注册证情况。
技术资料暂无技术资料 索取技术资料
AQR Polyclonal Antibody[30691]
询价


![AQR Polyclonal Antibody[30691]](https://img1.dxycdn.com/p/s14/2025/0923/305/2150219664296040791.jpg)


![TNIK Antibody[43698]](https://img1.dxycdn.com/p/s14/2025/0922/568/0046652811090600791.jpg!wh200)
![PSME1 Rabbit mAb[49782]](https://img1.dxycdn.com/p/s14/2025/0923/278/4431488150116040791.jpg!wh200)
![BRP44L Antibody[34505]](https://img1.dxycdn.com/p/s14/2025/0922/359/6146153295428599691.jpg!wh200)
![c-Myc (phospho-Ser373) Polyclonal Antibody[13961]](https://img1.dxycdn.com/p/s14/2025/0922/498/0460884283108299691.jpg!wh200)
