相关产品推荐更多 >
万千商家帮你免费找货
0 人在求购买到急需产品
- 详细信息
- 技术资料
- 免疫原:
Recombinant fusion protein of human RNPEP (NP_064601.3).
- 形态:
liquid
- 保存条件:
Store at -20˚C
- 克隆性:
Polyclonal
- 适应物种:
Human;Mouse;Rat
- 保质期:
12 months
- 抗原来源:
Rabbit
- 供应商:
南京赛戈巍生物科技有限公司
- 宿主:
Rabbit
- 应用范围:
WB
- 靶点:
Uniprot:Q9H4A4
- 抗体英文名:
RNPEP Polyclonal Antibody
- 规格:
50ul/100ul
别名:RNPEP; AP-B; APB; aminopeptidase B
计算分子量:80kDa
配方:Avoid freeze / thaw cycles.|Buffer: PBS with 50% glycerol, pH7.4.
应用详情:WB 1:1000 - 1:2000
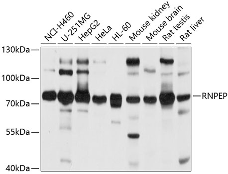
图片:
计算分子量:80kDa
配方:Avoid freeze / thaw cycles.|Buffer: PBS with 50% glycerol, pH7.4.
应用详情:WB 1:1000 - 1:2000
图片:

Western blot analysis of extracts of various cell lines, using RNPEP antibody.
风险提示:丁香通仅作为第三方平台,为商家信息发布提供平台空间。用户咨询产品时请注意保护个人信息及财产安全,合理判断,谨慎选购商品,商家和用户对交易行为负责。对于医疗器械类产品,请先查证核实企业经营资质和医疗器械产品注册证情况。
技术资料暂无技术资料 索取技术资料
RNPEP Polyclonal Antibody[30519]
询价


![RNPEP Polyclonal Antibody[30519]](https://img1.dxycdn.com/p/s14/2025/0923/305/2150219664296040791.jpg)


![MFSD2A Conjugated Antibody[C37724]](https://img1.dxycdn.com/p/s14/2025/0923/278/4431488150116040791.jpg!wh200)
![RUFY4 Antibody[43548]](https://img1.dxycdn.com/p/s14/2025/0922/568/0046652811090600791.jpg!wh200)
![PADI1 Antibody[62113]](https://img1.dxycdn.com/p/s14/2025/0922/632/2321321568067599691.jpg!wh200)
