相关产品推荐更多 >
万千商家帮你免费找货
0 人在求购买到急需产品
- 详细信息
- 技术资料
- 免疫原:
Recombinant fusion protein of human IFNLR1 (NP_734464.1).
- 形态:
liquid
- 保存条件:
Store at -20˚C
- 克隆性:
Polyclonal
- 适应物种:
Human;Mouse;Rat
- 保质期:
12 months
- 抗原来源:
Rabbit
- 供应商:
南京赛戈巍生物科技有限公司
- 宿主:
Rabbit
- 应用范围:
WB
- 靶点:
Uniprot:Q8IU57
- 抗体英文名:
IFNLR1 Polyclonal Antibody
- 规格:
50ul/100ul
别名:IFNLR1; CRF2/12; IFNLR; IL-28R1; IL28RA; LICR2; interferon lambda receptor 1
计算分子量:53kDa
配方:Avoid freeze / thaw cycles.|Buffer: PBS with 50% glycerol, pH7.4.
应用详情:WB 1:1000 - 1:4000
图片:
计算分子量:53kDa
配方:Avoid freeze / thaw cycles.|Buffer: PBS with 50% glycerol, pH7.4.
应用详情:WB 1:1000 - 1:4000
图片:

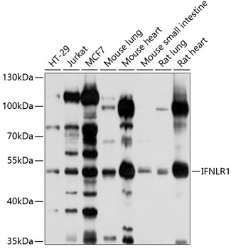
Western blot analysis of extracts of various cell lines, using IFNLR1 antibody.
风险提示:丁香通仅作为第三方平台,为商家信息发布提供平台空间。用户咨询产品时请注意保护个人信息及财产安全,合理判断,谨慎选购商品,商家和用户对交易行为负责。对于医疗器械类产品,请先查证核实企业经营资质和医疗器械产品注册证情况。
技术资料暂无技术资料 索取技术资料
IFNLR1 Polyclonal Antibody[27285]
询价


![IFNLR1 Polyclonal Antibody[27285]](https://img1.dxycdn.com/p/s14/2025/0923/305/2150219664296040791.jpg)


![C5AR2 Mouse mAb[63179]](https://img1.dxycdn.com/p/s14/2025/0922/632/2321321568067599691.jpg!wh200)
![GRP78 Conjugated Antibody[C33395]](https://img1.dxycdn.com/p/s14/2025/0923/278/4431488150116040791.jpg!wh200)
![SEPT6 Antibody[35015]](https://img1.dxycdn.com/p/s14/2025/0922/359/6146153295428599691.jpg!wh200)
![DNMT1 Rabbit Polyclonal Antibody[54303]](https://img1.dxycdn.com/p/s14/2025/0922/498/0460884283108299691.jpg!wh200)
