相关产品推荐更多 >
万千商家帮你免费找货
0 人在求购买到急需产品
- 详细信息
- 技术资料
- 免疫原:
Recombinant fusion protein of human NBS1/NBS1/NBN (NP_002476.2).
- 形态:
liquid
- 保存条件:
Store at -20˚C
- 克隆性:
Polyclonal
- 适应物种:
Human;Mouse;Rat
- 保质期:
12 months
- 抗原来源:
Rabbit
- 供应商:
南京赛戈巍生物科技有限公司
- 宿主:
Rabbit
- 应用范围:
WB,IHC
- 靶点:
Uniprot:O60934
- 抗体英文名:
NBN Polyclonal Antibody
- 规格:
50ul/100ul
别名:NBN;AT-V1;AT-V2;ATV;NBS;NBS1;P95;nibrin
计算分子量:110kDa
配方:PBS with 0.02% sodium azide,50% glycerol,pH7.3.
应用详情:WB 1:500 - 1:1000
IHC 1:50 - 1:100
图片:
计算分子量:110kDa
配方:PBS with 0.02% sodium azide,50% glycerol,pH7.3.
应用详情:WB 1:500 - 1:1000
IHC 1:50 - 1:100
图片:
![NBN Polyclonal Antibody[27241]](https://img1.dxycdn.com/p/s14/2025/0923/001/4857289663233240791.jpg)
Western blot analysis of extracts of various cell lines, using NBS1/NBS1/NBN antibody.
,
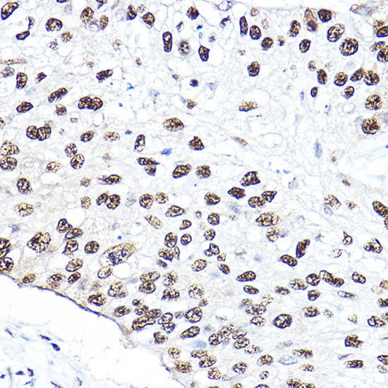
![NBN Polyclonal Antibody[27241]](https://img1.dxycdn.com/p/s14/2025/0923/737/8081172205233240791.jpg)
Immunohistochemistry of paraffin-embedded human lung cancer using [KO Validated] NBS1/NBS1/NBN Rabbit pAb.
风险提示:丁香通仅作为第三方平台,为商家信息发布提供平台空间。用户咨询产品时请注意保护个人信息及财产安全,合理判断,谨慎选购商品,商家和用户对交易行为负责。对于医疗器械类产品,请先查证核实企业经营资质和医疗器械产品注册证情况。
技术资料暂无技术资料 索取技术资料
NBN Polyclonal Antibody[27241]
询价


![NBN Polyclonal Antibody[27241]](https://img1.dxycdn.com/p/s14/2025/0923/278/4431488150116040791.jpg)


![EphB1/2 (Phospho-Tyr594/604) Polyclonal Conjugated Antibody[C12273]](https://img1.dxycdn.com/p/s14/2025/0923/278/4431488150116040791.jpg!wh200)
![AX2R Polyclonal Antibody FITC Conjugated[C92630FITC]](https://img1.dxycdn.com/p/s14/2025/0922/498/0460884283108299691.jpg!wh200)
![VMAT1 Antibody[48159]](https://img1.dxycdn.com/p/s14/2025/0923/496/0462304380155040791.jpg!wh200)
![ZNF281 Antibody[43566]](https://img1.dxycdn.com/p/s14/2025/0922/568/0046652811090600791.jpg!wh200)
![TPPP3 antibody[39171]](https://img1.dxycdn.com/p/s14/2025/0922/359/6146153295428599691.jpg!wh200)
