相关产品推荐更多 >
万千商家帮你免费找货
0 人在求购买到急需产品
- 详细信息
- 技术资料
- 免疫原:
Fusion protein of human GLIPR2
- 形态:
liquid
- 保存条件:
Store at -20˚C
- 克隆性:
Polyclonal
- 适应物种:
Human;Mouse
- 保质期:
12 months
- 抗原来源:
Rabbit
- 供应商:
南京赛戈巍生物科技有限公司
- 宿主:
Rabbit
- 应用范围:
IHC
- 靶点:
Uniprot:Q9H4G4
- 抗体英文名:
GLIPR2 antibody
- 规格:
50ul/100ul
别名:GAPR1; GAPR-1; C9orf19
配方:pH7.4 PBS, 0.05% NaN3, 40% Glycerol
应用详情:
IHC dilution:1:50-1:300
图片:
配方:pH7.4 PBS, 0.05% NaN3, 40% Glycerol
应用详情:
IHC dilution:1:50-1:300
图片:
![GLIPR2 antibody[43482]](https://img1.dxycdn.com/p/s14/2025/0923/703/2150485725295340791.png)
The image is immunohistochemistry of paraffin-embedded Human tonsil tissue using (GLIPR2 Antibody) at dilution 1/130.
,
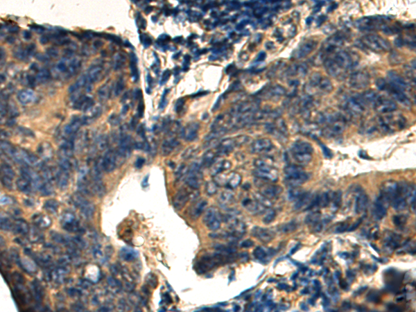
![GLIPR2 antibody[43482]](https://img1.dxycdn.com/p/s14/2025/0923/647/2363907374295340791.png)
The image is immunohistochemistry of paraffin-embedded Human colorectal cancer tissue using (GLIPR2 Antibody) at dilution 1/130.
风险提示:丁香通仅作为第三方平台,为商家信息发布提供平台空间。用户咨询产品时请注意保护个人信息及财产安全,合理判断,谨慎选购商品,商家和用户对交易行为负责。对于医疗器械类产品,请先查证核实企业经营资质和医疗器械产品注册证情况。
技术资料暂无技术资料 索取技术资料
GLIPR2 antibody[43482]
询价


![GLIPR2 antibody[43482]](https://img1.dxycdn.com/p/s14/2025/0923/305/2150219664296040791.jpg)


![CPSF73 Conjugated Antibody[C56984]](https://img1.dxycdn.com/p/s14/2025/0922/632/2321321568067599691.jpg!wh200)
![KLK12 Antibody[43777]](https://img1.dxycdn.com/p/s14/2025/0922/568/0046652811090600791.jpg!wh200)
![TNFRSF25 Conjugated Antibody[C35717]](https://img1.dxycdn.com/p/s14/2025/0923/278/4431488150116040791.jpg!wh200)
![Integrin alpha 4 Polyclonal Antibody Biotin Conjugated[C90261Bio]](https://img1.dxycdn.com/p/s14/2025/0922/498/0460884283108299691.jpg!wh200)
