相关产品推荐更多 >
万千商家帮你免费找货
0 人在求购买到急需产品
- 详细信息
- 技术资料
- 免疫原:
Synthetic peptide of human COX7A2
- 形态:
liquid
- 保存条件:
Store at -20˚C
- 克隆性:
Polyclonal
- 适应物种:
Human;Mouse;Rat
- 保质期:
12 months
- 抗原来源:
Rabbit
- 供应商:
南京赛戈巍生物科技有限公司
- 宿主:
Rabbit
- 应用范围:
WB, IHC
- 靶点:
Uniprot:P14406
- 抗体英文名:
COX7A2 antibody
- 规格:
50ul/100ul
别名:VIIAL; COX7AL; COX7AL1; COXVIIAL; COXVIIa-L
计算分子量:9 kDa
配方:pH7.4 PBS, 0.05% NaN3, 40% Glycerol
应用详情:WB dilution:1:200-1:1000
IHC dilution:1:25-1:50
图片:
计算分子量:9 kDa
配方:pH7.4 PBS, 0.05% NaN3, 40% Glycerol
应用详情:WB dilution:1:200-1:1000
IHC dilution:1:25-1:50
图片:
![COX7A2 antibody[31973]](https://img1.dxycdn.com/p/s14/2025/0923/986/8421204276965340791.png)
Gel: 12%SDS-PAGE, Lysate: 40 μg, Lane: Hela cell lysate, Primary antibody:COX7A2 Antibody at dilution 1/500, Secondary antibody: Goat anti rabbit IgG at 1/5000 dilution, Exposure time: 30 seconds
,
![COX7A2 antibody[31973]](https://img1.dxycdn.com/p/s14/2025/0923/191/2534082170075340791.png)
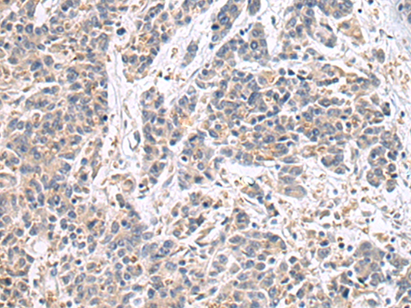
The image is immunohistochemistry of paraffin-embedded Human colorectal cancer tissue using (COX7A2 Antibody) at dilution 1/20.
风险提示:丁香通仅作为第三方平台,为商家信息发布提供平台空间。用户咨询产品时请注意保护个人信息及财产安全,合理判断,谨慎选购商品,商家和用户对交易行为负责。对于医疗器械类产品,请先查证核实企业经营资质和医疗器械产品注册证情况。
技术资料暂无技术资料 索取技术资料
COX7A2 antibody[31973]
询价


![COX7A2 antibody[31973]](https://img1.dxycdn.com/p/s14/2025/0923/305/2150219664296040791.jpg)


![C3AR1 Mouse mAb[63178]](https://img1.dxycdn.com/p/s14/2025/0922/632/2321321568067599691.jpg!wh200)
![MFF Conjugated Antibody[C37723]](https://img1.dxycdn.com/p/s14/2025/0923/278/4431488150116040791.jpg!wh200)
![ABHD14A Antibody[34368]](https://img1.dxycdn.com/p/s14/2025/0922/359/6146153295428599691.jpg!wh200)
