相关产品推荐更多 >
万千商家帮你免费找货
0 人在求购买到急需产品
- 详细信息
- 技术资料
- 免疫原:
Recombinant protein within human Pumilio 1 aa 1-200.
- 形态:
liquid
- 保存条件:
Store at -20˚C
- 克隆性:
Monoclonal antibody
- 适应物种:
Human;Mouse
- 保质期:
12 months
- 抗原来源:
Recombinant Rabbit
- 供应商:
南京赛戈巍生物科技有限公司
- 宿主:
Recombinant Rabbit
- 应用范围:
WB,ICC,IF,IHC,FC,IP
- 靶点:
Uniprot:Q14671
- 抗体英文名:
Pumilio 1 Rabbit mAb
- 规格:
50ul/100ul
KIAA0099 antibody
PUM 1 antibody
PUM L1 antibody
Pum1 antibody
PUM1_HUMAN antibody
PUMH 1 antibody
PUMH antibody
PUMH1 antibody
pumilio homolog 1 (Drosophila) antibody
Pumilio homolog 1 antibody
Pumilio-1 antibody
Pumilio1 antibody
PUML 1 antibody
PUML1 antibody
计算分子量:126 kDa
配方:1*TBS (pH7.4), 1%BSA, 40%Glycerol. Preservative: 0.05% Sodium Azide.
应用详情:WB: 1:1,000-1:2,000
IHC: 1:50-1:200
ICC: 1:50-1:200
IP: 1:10-1:50
FC: 1:50-1:100
图片:
![Pumilio 1 Rabbit mAb[49885]](https://img1.dxycdn.com/p/s14/2025/0923/294/6125609491841240791.jpg)
Western blot analysis of Pumilio 1 on SiHa cell using anti-Pumilio 1 antibody at 1/1,000 dilution.
,
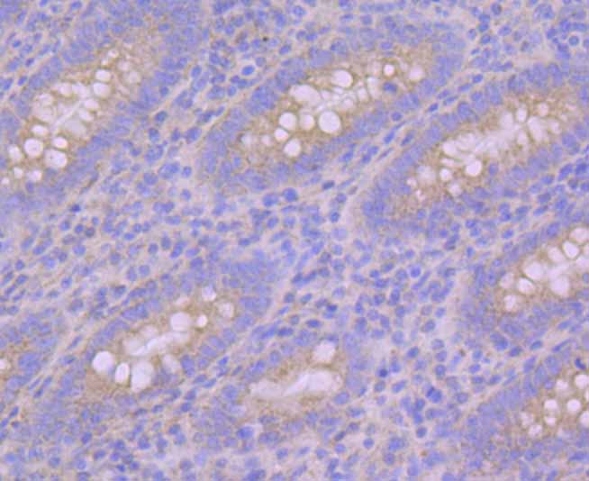
![Pumilio 1 Rabbit mAb[49885]](https://img1.dxycdn.com/p/s14/2025/0923/709/4032846391841240791.jpg)
Immunohistochemical analysis of paraffin-embedded human colon tissue using anti-Pumilio 1 antibody. Counter stained with hematoxylin.
,
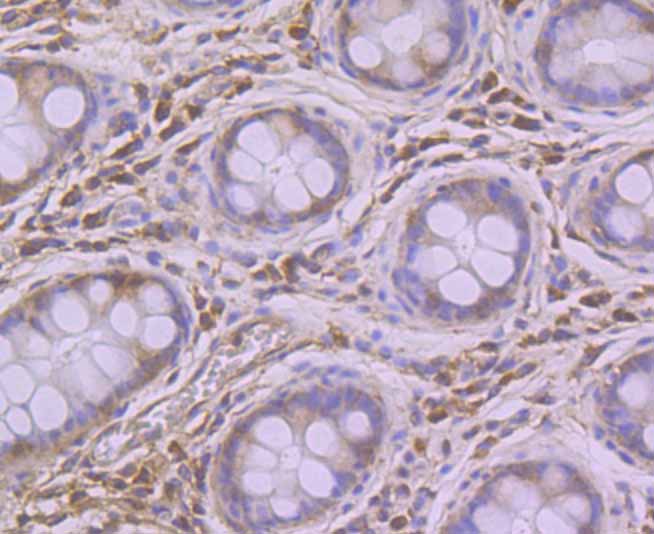
![Pumilio 1 Rabbit mAb[49885]](https://img1.dxycdn.com/p/s14/2025/0923/665/2190784491841240791.jpg)
Immunohistochemical analysis of paraffin-embedded human appendix tissue using anti-Pumilio 1 antibody. Counter stained with hematoxylin.
,
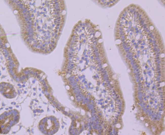
![Pumilio 1 Rabbit mAb[49885]](https://img1.dxycdn.com/p/s14/2025/0923/093/6359060091841240791.jpg)
Immunohistochemical analysis of paraffin-embedded mouse small intestine tissue using anti-Pumilio 1 antibody. Counter stained with hematoxylin.
,
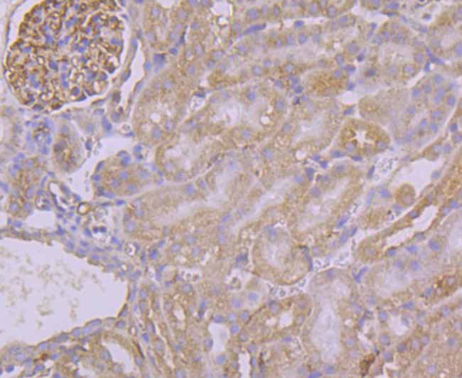
![Pumilio 1 Rabbit mAb[49885]](https://img1.dxycdn.com/p/s14/2025/0923/936/4669699291841240791.jpg)
Immunohistochemical analysis of paraffin-embedded mouse kidney tissue using anti-Pumilio 1 antibody. Counter stained with hematoxylin.
,
![Pumilio 1 Rabbit mAb[49885]](https://img1.dxycdn.com/p/s14/2025/0923/853/0065413561841240791.jpg)
ICC staining Pumilio 1 in 293T cells (green). The nuclear counter stain is DAPI (blue). Cells were fixed in paraformaldehyde, permeabilised with 0.25% Triton X100/PBS.
,
![Pumilio 1 Rabbit mAb[49885]](https://img1.dxycdn.com/p/s14/2025/0923/852/6161703303841240791.jpg)
ICC staining Pumilio 1 in SiHa cells (green). The nuclear counter stain is DAPI (blue). Cells were fixed in paraformaldehyde, permeabilised with 0.25% Triton X100/PBS.
,
![Pumilio 1 Rabbit mAb[49885]](https://img1.dxycdn.com/p/s14/2025/0923/085/2975870528841240791.jpg)
Flow cytometric analysis of 293T cells with Pumilio 1 antibody at 1/100 dilution (purple) compared with an unlabelled control (cells without incubation with primary antibody; yellow).Alexa Fluor 488-conjugated goat anti-rabbit IgG was used as the secondary antibody.
风险提示:丁香通仅作为第三方平台,为商家信息发布提供平台空间。用户咨询产品时请注意保护个人信息及财产安全,合理判断,谨慎选购商品,商家和用户对交易行为负责。对于医疗器械类产品,请先查证核实企业经营资质和医疗器械产品注册证情况。
技术资料暂无技术资料 索取技术资料


![Pumilio 1 Rabbit mAb[49885]](https://img1.dxycdn.com/p/s14/2025/0923/278/4431488150116040791.jpg)


![CAMKV Rabbit Polyclonal Antibody[54395]](https://img1.dxycdn.com/p/s14/2025/0922/498/0460884283108299691.jpg!wh200)
![SREBF1 Conjugated Antibody[C29356]](https://img1.dxycdn.com/p/s14/2025/0923/305/2150219664296040791.jpg!wh200)
![CNGA3 Antibody[35689]](https://img1.dxycdn.com/p/s14/2025/0922/359/6146153295428599691.jpg!wh200)
![SREBP-1 Polyclonal Antibody[41458]](https://img1.dxycdn.com/p/s14/2025/0922/568/0046652811090600791.jpg!wh200)
