相关产品推荐更多 >
万千商家帮你免费找货
0 人在求购买到急需产品
- 详细信息
- 文献和实验
- 技术资料
- 免疫原:
Recombinant protein
- 形态:
liquid
- 保存条件:
Store at -20˚C
- 克隆性:
Monoclonal antibody
- 适应物种:
Human;Mouse;Rat
- 保质期:
12 months
- 抗原来源:
Recombinant Rabbit
- 供应商:
南京赛戈巍生物科技有限公司
- 宿主:
Recombinant Rabbit
- 应用范围:
WB,ICC,IHC,IP
- 靶点:
Uniprot:Q15185
- 抗体英文名:
p23 Rabbit mAb
- 规格:
50ul/100ul
cPGES antibody
Cytosolic prostaglandin E synthase antibody
Cytosolic prostaglandin E2 synthase antibody
Hsp90 co chaperone antibody
Hsp90 co-chaperone antibody
P23 antibody
Progesterone receptor complex antibody
Progesterone receptor complex p23 antibody
Prostaglandin E synthase 3 (cytosolic) antibody
Prostaglandin E synthase 3 antibody
PTGES 3 antibody
PTGES3 antibody
Sid 3177 antibody
TEBP antibody
TEBP_HUMAN antibody
Telomerase binding protein p23 antibody
Telomerase-binding protein p23 antibody
Unactive progesterone receptor 23 kD antibody
计算分子量:23 kDa
配方:1*TBS (pH7.4), 1%BSA, 40%Glycerol. Preservative: 0.05% Sodium Azide.
应用详情:WB: 1:500-1:2,000
IHC: 1:100-1:500
ICC: 1:50-1:200
IP: 1:10-1:50
图片:

Western blot analysis of p23 on different lysates using anti-p23 antibody at 1/500 dilution. Positive control:
Lane 1: Mouse brain tissue
Lane 2: SK-Br-3
Lane 3: Rat lung tissue
,

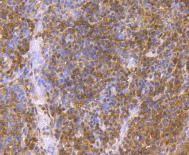
Immunohistochemical analysis of paraffin-embedded human tonsil tissue using anti-p23 antibody. Counter stained with hematoxylin.
,

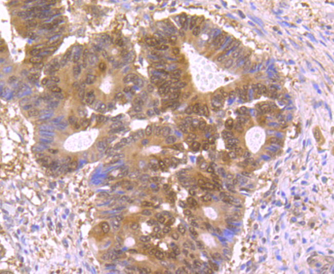
Immunohistochemical analysis of paraffin-embedded human colon cancer tissue using anti-p23 antibody. Counter stained with hematoxylin.
,

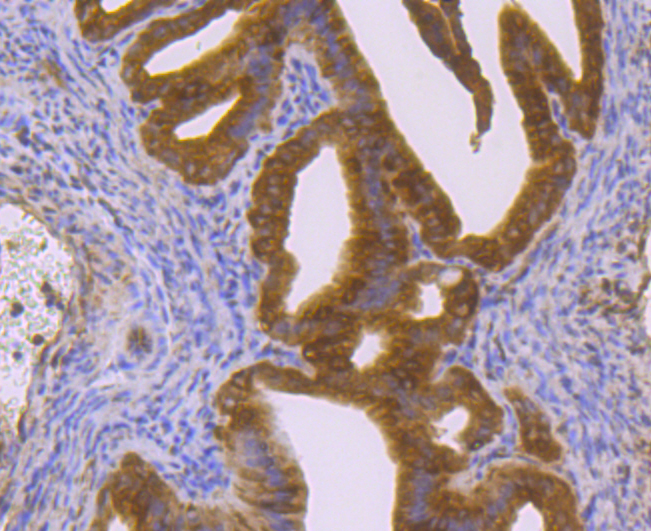
Immunohistochemical analysis of paraffin-embedded mouse fallopian tube tissue using anti-p23 antibody. Counter stained with hematoxylin.
,

Immunohistochemical analysis of paraffin-embedded rat testis tissue using anti-p23 antibody. Counter stained with hematoxylin.
,

ICC staining p23 in A431 cells (green). The nuclear counter stain is DAPI (blue). Cells were fixed in paraformaldehyde, permeabilised with 0.25% Triton X100/PBS.
,

ICC staining p23 in Hela cells (green). The nuclear counter stain is DAPI (blue). Cells were fixed in paraformaldehyde, permeabilised with 0.25% Triton X100/PBS.
风险提示:丁香通仅作为第三方平台,为商家信息发布提供平台空间。用户咨询产品时请注意保护个人信息及财产安全,合理判断,谨慎选购商品,商家和用户对交易行为负责。对于医疗器械类产品,请先查证核实企业经营资质和医疗器械产品注册证情况。
文献和实验:使用 Anti-phospho-Akt (Ser473) Rabbit mAb 对石蜡包埋的人乳腺癌组织进行免疫组织化学分析。(图 A)使用免疫组化试剂盒M&R HRP/DAB Detection IHC Kit,抗体 1:100 稀释;(图 B) 采用普通免疫组化试剂盒,抗体 1:25 稀释。 图 6 免疫组化实验检测 Erk1/2 表达 注:使用 Anti-Erk1/2 Mouse mAb与p44/42 MAPK (Erk1/2)Rabbit mAb 对正常小鼠心脏组织进行免疫
肺癌病人的诊断和个性化治疗提供了有效的筛查工具。同样,以ROS1融合蛋白抗体(克隆号D4D6,货号#3287)为基础的IHC检测技术与断裂FISH方法相比,在非小细胞肺癌上IHC检测的准确度达到100%【5】。如此,我们期待检测ROS1融合变异的临床诊断用IHC试剂盒不久将成功推出。如要了解更多有关ALK和ROS1抗体的验证数据,请点击:ALK (D5F3) XP®Rabbit mAb #3633 和 ROS1 (D4D6) Rabbit mAb #3287。 本文
h)即可。2. 修复大法——不仅仅是「煮一煮」微波炉修复:简单易行效果好,CST 推荐使用微波炉完成修复。合适的修复液:根据抗体说明书使用合适的修复液。用柠檬酸修复后,切片需浸泡在修复液中,自然冷却;而用 EDTA 修复后,切片可直接从修复缸中取出,直接进行下一步。注:使用不同的修复方式和不同生产商的抗体检测人肺癌组织中 EGFR 的表达。第一排为 CST 的 EGF Receptor (D38B1) XP® Rabbit mAb(#4267),EDTA 的修复方式明显优于柠檬酸盐及胃蛋白
技术资料暂无技术资料 索取技术资料





![MMP14 Rabbit mAb[48761]](https://img1.dxycdn.com/p/s14/2025/0923/496/0462304380155040791.jpg!wh200)
![CGR19 Polyclonal Antibody[41753]](https://img1.dxycdn.com/p/s14/2025/0922/568/0046652811090600791.jpg!wh200)
![NF2 Conjugated Antibody[C27239]](https://img1.dxycdn.com/p/s14/2025/0923/305/2150219664296040791.jpg!wh200)
![CXCL12 Polyclonal Antibody[29143]](https://img1.dxycdn.com/p/s14/2025/0922/498/0460884283108299691.jpg!wh200)
