相关产品推荐更多 >
万千商家帮你免费找货
0 人在求购买到急需产品
- 详细信息
- 文献和实验
- 技术资料
- 免疫原:
Recombinant protein
- 形态:
liquid
- 保存条件:
Store at -20˚C
- 克隆性:
Monoclonal antibody
- 适应物种:
Human;Mouse;Rat
- 保质期:
12 months
- 抗原来源:
Recombinant Rabbit
- 供应商:
南京赛戈巍生物科技有限公司
- 宿主:
Recombinant Rabbit
- 应用范围:
WB, IF/ICC, IHC, IP
- 靶点:
Uniprot:P16104
- 抗体英文名:
Histone H2A.X Rabbit mAb
- 规格:
50ul/100ul
H2A histone family member X antibody
H2A.FX antibody
H2A.X antibody
H2a/x antibody
H2AFX antibody
H2AX antibody
H2AX histone antibody
H2AX_HUMAN antibody
Hist5.2ax antibody
Histone 2A antibody
Histone 2AX antibody
Histone H2A.X antibody
Histone H2AX antibody
RGD1566119 antibody
配方:1*TBS (pH7.4), 1%BSA, 40%Glycerol. Preservative: 0.05% Sodium Azide.
应用详情:WB: 1��500-1��2000
IHC: 1:100-1:500
IP: 1:10-1:50
图片:

Western blot analysis of Histone H2A.X on MCF-7 cell lysates using anti-Histone H2A.X antibody at 1/1,000 dilution.
,

Immunohistochemical analysis of paraffin-embedded rat brain tissue using anti-Histone H2A.X antibody. Counter stained with hematoxylin.
,

Immunohistochemical analysis of paraffin-embedded human stomach cancer tissue using anti-Histone H2A.X antibody. Counter stained with hematoxylin.
,

Immunohistochemical analysis of paraffin-embedded human pancreas tissue using anti-Histone H2A.X antibody. Counter stained with hematoxylin.
,

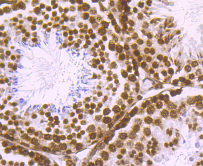
Immunohistochemical analysis of paraffin-embedded mouse testis tissue using anti-Histone H2A.X antibody. Counter stained with hematoxylin.
,

IF analysis of paraffin-embedded human pancreas tissue using anti-Histone H2A.X antibody (green). The nuclear counter stain is DAPI (blue).
,

IF analysis of paraffin-embedded mouse testis tissue using anti-Histone H2A.X antibody (green). The nuclear counter stain is DAPI (blue).
,

IF analysis of paraffin-embedded rat brain tissue using anti-Histone H2A.X antibody (green). The nuclear counter stain is DAPI (blue).
风险提示:丁香通仅作为第三方平台,为商家信息发布提供平台空间。用户咨询产品时请注意保护个人信息及财产安全,合理判断,谨慎选购商品,商家和用户对交易行为负责。对于医疗器械类产品,请先查证核实企业经营资质和医疗器械产品注册证情况。
文献和实验Ab concentrations.OD (Absorbance at 280 nm)/1.35 = X mg/ml.Store Abs at -20℃ or further concentrate by using Centriprep. And store at -20℃.Regenerate Ab column with Regenerate buffer (~200 ml).
Histone Acetylation and Deacetylation
transcription (1 ,2 ). DNA is packaged into chromatin, a highly organized and dynamic protein-DNA complex. The fundamental subunit of chromatin, the nucleosome, is composed of an octomer of four core histones, an H3/H4 tetramer and two H2A/H2B dimers, surrounded
组蛋白是和染色体相联的最主要的蛋白质。它的作用是和染色体中的 DNA 的负电荷结合。组蛋白是比较小的碱性蛋白;在细胞正常 pH 值时,组蛋白带有正电荷,这样它们就可以和 DNA 结合,这个正电荷主要存在于碱性氨基酸 Lys 和 Arg 的 -NH3 上。其实,组蛋白约含 25% 的 Arg 和 Lys 。比其他蛋白的 Arg , Lys 的含量都多。和真核 DNA 结合的有 5 种类型的组蛋白: H1 , H2A , H2B , H3
技术资料暂无技术资料 索取技术资料





![ALX4 Rabbit Polyclonal Antibody[54721]](https://img1.dxycdn.com/p/s14/2025/0922/498/0460884283108299691.jpg!wh200)
![FRG1 Conjugated Antibody[C31929]](https://img1.dxycdn.com/p/s14/2025/0923/305/2150219664296040791.jpg!wh200)
