相关产品推荐更多 >
万千商家帮你免费找货
0 人在求购买到急需产品
- 详细信息
- 技术资料
- 免疫原:
recombinant protein
- 形态:
liquid
- 保存条件:
Store at -20˚C
- 克隆性:
Monoclonal antibody
- 适应物种:
Human;Mouse;Rat
- 保质期:
12 months
- 抗原来源:
Recombinant Rabbit
- 供应商:
南京赛戈巍生物科技有限公司
- 宿主:
Recombinant Rabbit
- 应用范围:
WB, ICC/IF, IHC, IP, FC
- 靶点:
Uniprot:Q99497
- 抗体英文名:
PARK7/DJ1 Rabbit mAb
- 规格:
50ul/100ul
DJ-1 antibody
DJ1 antibody
DJ1 protein antibody
Epididymis secretory sperm binding protein Li 67p antibody
FLJ27376 antibody
FLJ34360 antibody
FLJ92274 antibody
HEL S 67p antibody
Oncogene DJ1 antibody
OTTHUMP00000001348 antibody
OTTHUMP00000001349 antibody
OTTHUMP00000001350 antibody
OTTHUMP00000001351 antibody
PARK7 antibody
PARK7_HUMAN antibody
Parkinson disease (autosomal recessive, early onset) 7 antibody
Parkinson disease protein 7 antibody
Parkinson protein 7 antibody
Protein DJ-1 antibody
SP22 antibody
计算分子量:20 kDa
配方:1*TBS (pH7.4), 1%BSA, 40%Glycerol. Preservative: 0.05% Sodium Azide.
应用详情:WB: 1:1,000-1:2,000
IHC: 1:100-1:500
ICC: 1:100-1:500
FC: 1:50-1:100
图片:
![PARK7/DJ1 Rabbit mAb[49058]](https://img1.dxycdn.com/p/s14/2025/0923/723/4268183340566140791.png)
Western blot analysis of PARK7 on different lysates using anti-PARK7 antibody at 1/1,000 dilution. Positive control:
Lane 1: Hela
Lane 2: Jurkat
Lane 3: NIH/3T3
,
![PARK7/DJ1 Rabbit mAb[49058]](https://img1.dxycdn.com/p/s14/2025/0923/669/2131646109666140791.png)
Immunohistochemical analysis of paraffin-embedded human breast tissue using anti-PARK7 antibody. Counter stained with hematoxylin.
,
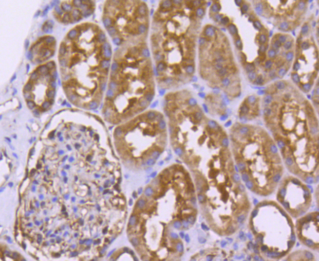
![PARK7/DJ1 Rabbit mAb[49058]](https://img1.dxycdn.com/p/s14/2025/0923/123/6908669235666140791.png)
Immunohistochemical analysis of paraffin-embedded human kidney tissue using anti-PARK7 antibody. Counter stained with hematoxylin.
,
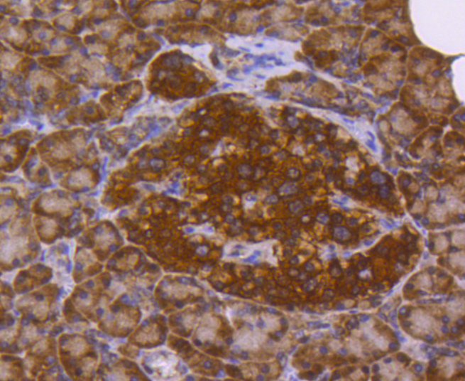
![PARK7/DJ1 Rabbit mAb[49058]](https://img1.dxycdn.com/p/s14/2025/0923/194/2363926789666140791.png)
Immunohistochemical analysis of paraffin-embedded human pancreas tissue using anti-PARK7 antibody. Counter stained with hematoxylin.
,
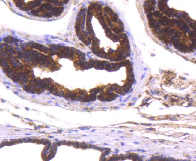
![PARK7/DJ1 Rabbit mAb[49058]](https://img1.dxycdn.com/p/s14/2025/0923/129/0808915260766140791.png)
Immunohistochemical analysis of paraffin-embedded mouse prostate tissue using anti-PARK7 antibody. Counter stained with hematoxylin.
,
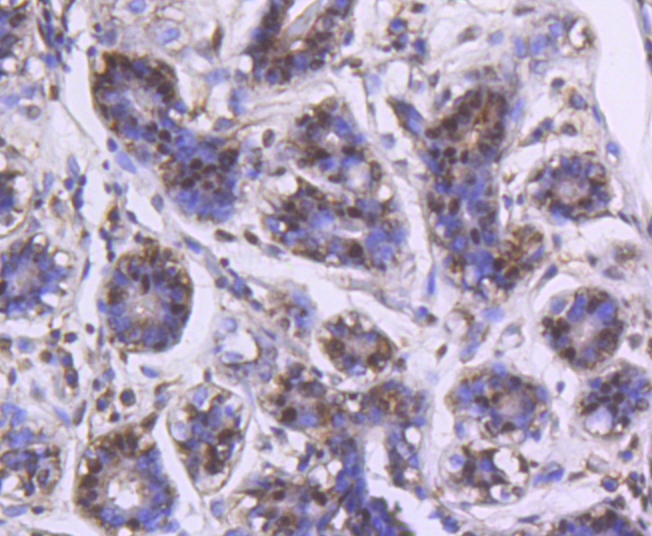
![PARK7/DJ1 Rabbit mAb[49058]](https://img1.dxycdn.com/p/s14/2025/0923/075/2152916982766140791.png)
Immunohistochemical analysis of paraffin-embedded mouse pancreas tissue using anti-PARK7 antibody. Counter stained with hematoxylin.
,
![PARK7/DJ1 Rabbit mAb[49058]](https://img1.dxycdn.com/p/s14/2025/0923/322/8440022586666140791.png)
ICC staining PARK7 in HepG2 cells (green). The nuclear counter stain is DAPI (blue). Cells were fixed in paraformaldehyde, permeabilised with 0.25% Triton X100/PBS.
,
![PARK7/DJ1 Rabbit mAb[49058]](https://img1.dxycdn.com/p/s14/2025/0923/405/0650331961666140791.png)
ICC staining PARK7 in MCF-7 cells (green). The nuclear counter stain is DAPI (blue). Cells were fixed in paraformaldehyde, permeabilised with 0.25% Triton X100/PBS.
,
![PARK7/DJ1 Rabbit mAb[49058]](https://img1.dxycdn.com/p/s14/2025/0923/311/5496222432566140791.png)
Flow cytometric analysis of HepG2 cells with PARK7 antibody at 1/50 dilution (red) compared with an unlabelled control (cells without incubation with primary antibody; black). Alexa Fluor 488-conjugated goat anti rabbit IgG was used as the secondary antibody.
风险提示:丁香通仅作为第三方平台,为商家信息发布提供平台空间。用户咨询产品时请注意保护个人信息及财产安全,合理判断,谨慎选购商品,商家和用户对交易行为负责。对于医疗器械类产品,请先查证核实企业经营资质和医疗器械产品注册证情况。
技术资料暂无技术资料 索取技术资料


![PARK7/DJ1 Rabbit mAb[49058]](https://img1.dxycdn.com/p/s14/2025/0923/496/0462304380155040791.jpg)


![CS Antibody[43035]](https://img1.dxycdn.com/p/s14/2025/0922/568/0046652811090600791.jpg!wh200)
![Nicastrin Rabbit mAb[49909]](https://img1.dxycdn.com/p/s14/2025/0923/278/4431488150116040791.jpg!wh200)
![KPBB Antibody[34016]](https://img1.dxycdn.com/p/s14/2025/0922/359/6146153295428599691.jpg!wh200)
![A-Raf (phospho-Tyr302) Polyclonal Antibody[14081]](https://img1.dxycdn.com/p/s14/2025/0922/498/0460884283108299691.jpg!wh200)
