相关产品推荐更多 >
万千商家帮你免费找货
0 人在求购买到急需产品
- 详细信息
- 技术资料
- 免疫原:
Recombinant protein
- 形态:
liquid
- 保存条件:
Store at -20˚C
- 克隆性:
Polyclonal
- 适应物种:
Human;Mouse;Rat
- 保质期:
12 months
- 抗原来源:
Rabbit
- 供应商:
南京赛戈巍生物科技有限公司
- 宿主:
Rabbit
- 应用范围:
ICC,IHC,FC
- 靶点:
Uniprot:Q06124
- 抗体英文名:
SHP-2 Antibody
- 规格:
50ul/100ul
CFC antibody
JMML antibody
METCDS antibody
MGC14433 antibody
NS1 antibody
OTTHUMP00000166107 antibody
OTTHUMP00000166108 antibody
Protein tyrosine phosphatase 2 antibody
Protein tyrosine phosphatase 2C antibody
Protein tyrosine phosphatase non receptor type 11 antibody
Protein-tyrosine phosphatase 1D antibody
Protein-tyrosine phosphatase 2C antibody
PTN11_HUMAN antibody
PTP-1D antibody
PTP-2C antibody
PTP1D antibody
PTP2C antibody
PTPN11 antibody
SAP2 antibody
SH-PTP2 antibody
SH-PTP3 antibody
SH2 domain containing protein tyrosine phosphatase 2 antibody
SHP 2 antibody
SHP-2 antibody
Shp2 antibody
SHPTP2 antibody
SHPTP3 antibody
Syp antibody
Tyrosine-protein phosphatase non-receptor type 11 antibody
配方:1*TBS (pH7.4), 0.5%BSA, 50%Glycerol. Preservative: 0.05% Sodium Azide.
应用详情:
IHC: 1:50-1:200
ICC: 1:50-1:200
FC: 1:50-1:100
图片:
![SHP-2 Antibody[48519]](https://img1.dxycdn.com/p/s14/2025/0923/958/8294024330044140791.jpg)
Immunohistochemical analysis of paraffin-embedded rat skeletal muscle tissue using anti-SHP2 antibody. Counter stained with hematoxylin.
,
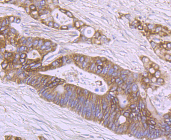
![SHP-2 Antibody[48519]](https://img1.dxycdn.com/p/s14/2025/0923/586/2171375984044140791.jpg)
Immunohistochemical analysis of paraffin-embedded human colon cacner tissue using anti-SHP2 antibody. Counter stained with hematoxylin.
,
![SHP-2 Antibody[48519]](https://img1.dxycdn.com/p/s14/2025/0923/214/8081725059044140791.jpg)
Immunohistochemical analysis of paraffin-embedded human fetal skeletal muscle tissue using anti-SHP2 antibody. Counter stained with hematoxylin.
,
![SHP-2 Antibody[48519]](https://img1.dxycdn.com/p/s14/2025/0923/210/4030772754044140791.jpg)
Immunohistochemical analysis of paraffin-embedded mouse brain tissue using anti-SHP2 antibody. Counter stained with hematoxylin.
,
![SHP-2 Antibody[48519]](https://img1.dxycdn.com/p/s14/2025/0923/661/6121676689934140791.jpg)
ICC staining SHP2 in A431 cells (green). The nuclear counter stain is DAPI (blue). Cells were fixed in paraformaldehyde, permeabilised with 0.25% Triton X100/PBS.
,
![SHP-2 Antibody[48519]](https://img1.dxycdn.com/p/s14/2025/0923/612/4414966289934140791.jpg)
ICC staining SHP2 in LOVO cells (green). The nuclear counter stain is DAPI (blue). Cells were fixed in paraformaldehyde, permeabilised with 0.25% Triton X100/PBS.
,
![SHP-2 Antibody[48519]](https://img1.dxycdn.com/p/s14/2025/0923/150/8699581589934140791.jpg)
ICC staining SHP2 in MCF-7 cells (green). The nuclear counter stain is DAPI (blue). Cells were fixed in paraformaldehyde, permeabilised with 0.25% Triton X100/PBS.
,
![SHP-2 Antibody[48519]](https://img1.dxycdn.com/p/s14/2025/0923/879/0213181959934140791.jpg)
Flow cytometric analysis of SH-SY5Y cells with SHP2 antibody at 1/100 dilution (red) compared with an unlabelled control (cells without incubation with primary antibody; black).
风险提示:丁香通仅作为第三方平台,为商家信息发布提供平台空间。用户咨询产品时请注意保护个人信息及财产安全,合理判断,谨慎选购商品,商家和用户对交易行为负责。对于医疗器械类产品,请先查证核实企业经营资质和医疗器械产品注册证情况。
技术资料暂无技术资料 索取技术资料


![SHP-2 Antibody[48519]](https://img1.dxycdn.com/p/s14/2025/0923/496/0462304380155040791.jpg)


![IL12A Conjugated Antibody[C40406]](https://img1.dxycdn.com/p/s14/2025/0923/278/4431488150116040791.jpg!wh200)
![ENO1 Conjugated Antibody[C56015]](https://img1.dxycdn.com/p/s14/2025/0922/632/2321321568067599691.jpg!wh200)
![GM-CSF Polyclonal Conjugated Antibody[C46884]](https://img1.dxycdn.com/p/s14/2025/0923/305/2150219664296040791.jpg!wh200)
