相关产品推荐更多 >
万千商家帮你免费找货
0 人在求购买到急需产品
- 详细信息
- 文献和实验
- 技术资料
- 免疫原:
Recombinant protein.
- 形态:
liquid
- 保存条件:
Store at -20˚C
- 克隆性:
Polyclonal
- 适应物种:
Human;Mouse;Rat
- 保质期:
12 months
- 抗原来源:
Rabbit
- 供应商:
南京赛戈巍生物科技有限公司
- 宿主:
Rabbit
- 应用范围:
ICC,IHC,FC
- 靶点:
Uniprot:P17612
- 抗体英文名:
PKA C alpha Antibody
- 规格:
50ul/100ul
cAMP dependent protein kinase alpha catalytic subunit antibody
cAMP dependent protein kinase catalytic subunit alpha antibody
cAMP dependent protein kinase catalytic subunit beta antibody
PKA C alpha antibody
PKA C beta antibody
PKACA antibody
PKACB antibody
PRKACA antibody
PRKACB antibody
Protein kinase cAMP dependent catalytic alpha antibody
Protein kinase cAMP dependent catalytic beta antibody
计算分子量:40 kDa
配方:1*TBS (pH7.4), 0.5%BSA, 50%Glycerol. Preservative: 0.05% Sodium Azide.
应用详情:
IHC: 1:50-1:200
ICC: 1:50-1:200
FC: 1:50-1:100
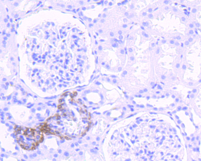
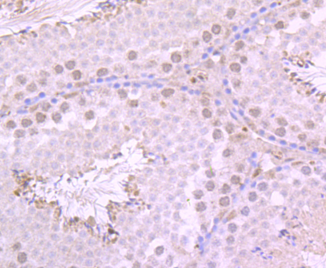
图片:

Immunohistochemical analysis of paraffin-embedded rat brain tissue using anti-PKA C-alpha antibody. Counter stained with hematoxylin.
,

Immunohistochemical analysis of paraffin-embedded human kidney tissue using anti-PKA C-alpha antibody. Counter stained with hematoxylin.
,

Immunohistochemical analysis of paraffin-embedded mouse testis tissue using anti-PKA C-alpha antibody. Counter stained with hematoxylin.
,

ICC staining PKA C-alpha in A431 cells (green). The nuclear counter stain is DAPI (blue). Cells were fixed in paraformaldehyde, permeabilised with 0.25% Triton X100/PBS.
,

ICC staining PKA C-alpha in PC-3M cells (green). The nuclear counter stain is DAPI (blue). Cells were fixed in paraformaldehyde, permeabilised with 0.25% Triton X100/PBS.
,

Flow cytometric analysis of PC-3M cells with PKA C-alpha antibody at 1/100 dilution (red) compared with an unlabelled control (cells without incubation with primary antibody; black).
风险提示:丁香通仅作为第三方平台,为商家信息发布提供平台空间。用户咨询产品时请注意保护个人信息及财产安全,合理判断,谨慎选购商品,商家和用户对交易行为负责。对于医疗器械类产品,请先查证核实企业经营资质和医疗器械产品注册证情况。
文献和实验缓冲液 分子量 pka值 缓冲范围 trisa 12.1 8.08
In situ hybridisation to alpha satellite sequences (chromosome specific)
Alpha satellite sequences, whilst highly repetitive, are specific to each individual chromosome. These sequences flank the centromeres and can present a target measured in megabases. In this protocol a biotin or digoxigenin labelled DNA
【求助】用蛋白激酶C-alpha抑制剂或蛋白激酶C-epsilon抑制剂来灌流组织块可行吗?
li2005wh 用蛋白激酶C-alpha抑制剂或蛋白激酶C-epsilon抑制剂来灌流组织块可行吗?蛋白激酶C-alpha抑制剂或蛋白激酶C-epsilon抑制剂能透过细胞膜吗? 文竹竹 应该查阅相关试剂的说明书看看能否通过细胞膜 wzc2004 li2005wh 您好!我也做信号转导,我有几种蛋白酶抑制剂和活化剂,可以和您交换您的蛋白激酶C-alpha抑制剂和蛋白激酶C-epsilon
技术资料暂无技术资料 索取技术资料





![PML��isoform 5�� Polyclonal Antibody[30325]](https://img1.dxycdn.com/p/s14/2025/0923/305/2150219664296040791.jpg!wh200)
![USP35 Antibody[39789]](https://img1.dxycdn.com/p/s14/2025/0922/359/6146153295428599691.jpg!wh200)
![NDUFAF4 Rabbit Polyclonal Antibody[53844]](https://img1.dxycdn.com/p/s14/2025/0922/498/0460884283108299691.jpg!wh200)
