相关产品推荐更多 >
万千商家帮你免费找货
0 人在求购买到急需产品
- 详细信息
- 技术资料
- 免疫原:
Recombinant protein
- 形态:
liquid
- 保存条件:
Store at -20˚C
- 克隆性:
Monoclonal
- 适应物种:
Human
- 保质期:
12 months
- 抗原来源:
Mouse
- 供应商:
南京赛戈巍生物科技有限公司
- 宿主:
Mouse
- 应用范围:
WB,ICC,IHC,FC
- 靶点:
Uniprot:Q15406
- 抗体英文名:
GCNF Antibody
- 规格:
50ul/100ul
GCNF antibody
GCNF1 antibody
Germ cell nuclear factor antibody
hGCNF antibody
hRTR antibody
NR 61 antibody
NR61 antibody
nr6a1 antibody
NR6A1_HUMAN antibody
Nuclear receptor subfamily 6 group A member 1 antibody
Orphan nuclear receptor NR6A1 antibody
Retinoic acid receptor related testis associated receptor antibody
Retinoid receptor related testis specific receptor antibody
Retinoid receptor-related testis-specific receptor antibody
RTR antibody
计算分子量:54 kDa
配方:1*TBS (pH7.4), 1%BSA, Preservative: 0.05% Sodium Azide.
应用详情:WB: 1:500-1:1,000
IHC: 1:100-1:500
ICC: 1:50-1:200
FC: 1:100-1:200
图片:
![GCNF Antibody[48479]](https://img1.dxycdn.com/p/s14/2025/0923/761/8634550541324140791.jpg)
Western blot analysis of GCNF on human GCNF recombinant protein using anti- GCNF antibody at 1/1,000 dilution.
,
![GCNF Antibody[48479]](https://img1.dxycdn.com/p/s14/2025/0923/090/2910275741324140791.jpg)
Western blot analysis of GCNF on HEK293 (1) and GCNF -hIgGFc transfected HEK293 (2) cell lysate using anti-GCNF antibody at 1/1,000 dilution.
,
![GCNF Antibody[48479]](https://img1.dxycdn.com/p/s14/2025/0923/575/8258308741324140791.jpg)
Western blot analysis of GCNF on different cell lysates using anti-GCNF antibody at 1/1,000 dilution.
Positive control??
Lane1: K562
Lane2: NTERA-2
Lane3: HEK293
Lane4: HUVE-12
Lane5: HeLa
,
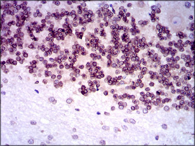
![GCNF Antibody[48479]](https://img1.dxycdn.com/p/s14/2025/0923/323/3599438471324140791.jpg)
Immunohistochemical analysis of paraffin-embedded human cerebellum tissue using anti-GCNF antibody. Counter stained with hematoxylin.
,
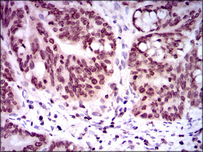
![GCNF Antibody[48479]](https://img1.dxycdn.com/p/s14/2025/0923/692/2599438471324140791.jpg)
Immunohistochemical analysis of paraffin-embedded human rectum cancer tissue using anti-GCNF antibody. Counter stained with hematoxylin.
,
![GCNF Antibody[48479]](https://img1.dxycdn.com/p/s14/2025/0923/365/8400109941324140791.jpg)
ICC staining GCNF (green) in HepG2 cells. The nuclear counter stain is DAPI (blue). Cells were fixed in paraformaldehyde, permeabilised with 0.25% Triton X100/PBS.
,
![GCNF Antibody[48479]](https://img1.dxycdn.com/p/s14/2025/0923/291/6106880051324140791.jpg)
Flow cytometric analysis of K562 cells with GCNF antibody at 1/100 dilution (green) compared with an unlabelled control (cells without incubation with primary antibody; red).
风险提示:丁香通仅作为第三方平台,为商家信息发布提供平台空间。用户咨询产品时请注意保护个人信息及财产安全,合理判断,谨慎选购商品,商家和用户对交易行为负责。对于医疗器械类产品,请先查证核实企业经营资质和医疗器械产品注册证情况。
技术资料暂无技术资料 索取技术资料


![GCNF Antibody[48479]](https://img1.dxycdn.com/p/s14/2025/0923/496/0462304380155040791.jpg)


![LUM Conjugated Antibody[C36591]](https://img1.dxycdn.com/p/s14/2025/0923/278/4431488150116040791.jpg!wh200)
![HCRT Antibody[43765]](https://img1.dxycdn.com/p/s14/2025/0922/568/0046652811090600791.jpg!wh200)
![SFTPC Polyclonal Antibody APC Conjugated[C90407APC]](https://img1.dxycdn.com/p/s14/2025/0922/498/0460884283108299691.jpg!wh200)
