相关产品推荐更多 >
万千商家帮你免费找货
0 人在求购买到急需产品
- 详细信息
- 文献和实验
- 技术资料
- 免疫原:
Recombinant protein
- 形态:
liquid
- 保存条件:
Store at -20˚C
- 克隆性:
Monoclonal
- 适应物种:
Human
- 保质期:
12 months
- 抗原来源:
Mouse
- 供应商:
南京赛戈巍生物科技有限公司
- 宿主:
Mouse
- 应用范围:
WB, IHC
- 靶点:
Uniprot:O94979
- 抗体英文名:
SEC31A Antibody
- 规格:
50ul/100ul
ABP125 antibody
ABP130 antibody
AU042160 antibody
DKFZp686N07171 antibody
HSPC275 antibody
HSPC334 antibody
KIAA0905 antibody
MGC90305 antibody
MGC93320 antibody
Protein transport protein Sec31A antibody
SEC31 homolog A (S. cerevisiae) antibody
SEC31 like 1 antibody
SEC31 like protein 1 antibody
SEC31 related protein A antibody
SEC31L1 antibody
VAP1 antibody
Web1 like protein antibody
Yeast Sec31p homolog antibody
计算分子量:133 kDa
配方:1*TBS (pH7.4), 1%BSA, 40%Glycerol. Preservative: 0.05% Sodium Azide.
应用详情:WB: 1:500-1:2,000
IHC: 1:50-1:200
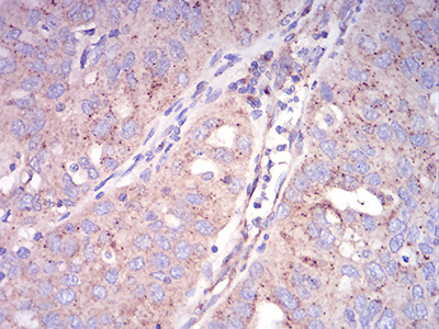
图片:

Western blot analysis of SEC31A on human SEC31A recombinant protein using anti-SEC31A antibody at 1/1,000 dilution.
,

Western blot analysis of SEC31A on HEK293 (1) and SEC31A-hIgGFc transfected HEK293 (2) cell lysate using anti-SEC31A antibody at 1/1,000 dilution.
,

Immunohistochemical analysis of paraffin-embedded human ?ovarian cancer tissue using anti-SEC31A antibody. Counter stained with hematoxylin.
风险提示:丁香通仅作为第三方平台,为商家信息发布提供平台空间。用户咨询产品时请注意保护个人信息及财产安全,合理判断,谨慎选购商品,商家和用户对交易行为负责。对于医疗器械类产品,请先查证核实企业经营资质和医疗器械产品注册证情况。
文献和实验Generation of Antibody Molecules Through Antibody Engineering
been overcome to a large extent using genetic-engineering techniques to produce chimeric mouse/human and completely human antibodies. Such an approach is particularly suitable because of the domain structure of the antibody molecule ( 2 ), where functional
The importance of antibody molecules was first recognized in the 1890s, when it was shown that immunity to tetanus and diphtheria was caused by antibodies against the bacterial exotoxins (1 ). Around the same time, it was shown that antisera
General comments: Antibodies, like most proteins, do not like to be freeze-thawed. Avoid repetitive freezing of your solution. The best way to store your antibody is to keep a high protein concentration (>1 mg/ml), add some protease
技术资料暂无技术资料 索取技术资料





![CBG Polyclonal Antibody[40685]](https://img1.dxycdn.com/p/s14/2025/0922/568/0046652811090600791.jpg!wh200)
![CLK4 Antibody[34070]](https://img1.dxycdn.com/p/s14/2025/0922/359/6146153295428599691.jpg!wh200)
![SF3B3 Antibody[47404]](https://img1.dxycdn.com/p/s14/2025/0923/496/0462304380155040791.jpg!wh200)

