相关产品推荐更多 >
万千商家帮你免费找货
0 人在求购买到急需产品
- 详细信息
- 文献和实验
- 技术资料
- 免疫原:
Recombinant protein
- 形态:
liquid
- 保存条件:
Store at -20˚C
- 克隆性:
Monoclonal
- 适应物种:
Human;Rat
- 保质期:
12 months
- 抗原来源:
Mouse
- 供应商:
南京赛戈巍生物科技有限公司
- 宿主:
Mouse
- 应用范围:
WB, IHC, FC
- 靶点:
Uniprot:Q13555
- 抗体英文名:
CAMK2G Antibody
- 规格:
50ul/100ul
Calcium/calmodulin dependent protein kinase II beta antibody
Calcium/calmodulin dependent protein kinase II delta antibody
Calcium/calmodulin dependent protein kinase II gamma antibody
Calcium/calmodulin-dependent protein kinase type II subunit alpha antibody
CaM kinase II alpha antibody
CaM kinase II antibody
CaM kinase II beta antibody
CaM kinase II delta antibody
CaM kinase II gamma antibody
CaM kinase II subunit alpha antibody
CaMK-II subunit alpha antibody
CAMK2 antibody
Camk2a antibody
CAMK2B antibody
CAMK2D antibody
CAMK2G antibody
CAMKA antibody
KCC2A_HUMAN antibody
计算分子量:63 kDa
配方:1*TBS (pH7.4), 1%BSA, 40%Glycerol. Preservative: 0.05% Sodium Azide.
应用详情:WB: 1:500-1:2,000
IHC: 1:200-1:500
FC: 1:50-1:100
图片:

Western blot analysis of CaMKII gamma on human CaMKII gamma recombinant protein using anti- CaMKII gamma antibody at 1/1,000 dilution.
,

Western blot analysis of CaMKII gamma on HEK293 (1) and CaMKII gamma -hIgGFc transfected HEK293 (2) cell lysate using anti- CaMKII gamma antibody at 1/1,000 dilution.
,

Western blot analysis of CaMKII gamma on different cell lysate using anti- CaMKII gamma antibody at 1/1,000 dilution. Positive control?? Line1: PC-12 Line2: Jurkat Line3: T47D Line4:HepG2
,

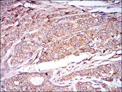
Immunohistochemical analysis of paraffin-embedded human prostate cancer tissue using anti- CaMKII gamma antibody. Counter stained with hematoxylin.
,

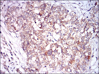
Immunohistochemical analysis of paraffin-embedded human bladder cancer tissue using anti- CaMKII gamma antibody. Counter stained with hematoxylin.
,

Flow cytometric analysis of Jurkat cells with CaMKII gamma antibody at 1/100 dilution (green) compared with an unlabelled control (cells without incubation with primary antibody; red).
风险提示:丁香通仅作为第三方平台,为商家信息发布提供平台空间。用户咨询产品时请注意保护个人信息及财产安全,合理判断,谨慎选购商品,商家和用户对交易行为负责。对于医疗器械类产品,请先查证核实企业经营资质和医疗器械产品注册证情况。
文献和实验Generation of Antibody Molecules Through Antibody Engineering
been overcome to a large extent using genetic-engineering techniques to produce chimeric mouse/human and completely human antibodies. Such an approach is particularly suitable because of the domain structure of the antibody molecule ( 2 ), where functional
The importance of antibody molecules was first recognized in the 1890s, when it was shown that immunity to tetanus and diphtheria was caused by antibodies against the bacterial exotoxins (1 ). Around the same time, it was shown that antisera
General comments: Antibodies, like most proteins, do not like to be freeze-thawed. Avoid repetitive freezing of your solution. The best way to store your antibody is to keep a high protein concentration (>1 mg/ml), add some protease
技术资料暂无技术资料 索取技术资料





![IL3RA Rabbit Polyclonal Antibody[54809]](https://img1.dxycdn.com/p/s14/2025/0922/498/0460884283108299691.jpg!wh200)
![PCAF (Acetyl-Lys428) Polyclonal Antibody[HW138]](https://img1.dxycdn.com/p/s14/2025/0922/568/0046652811090600791.jpg!wh200)
![ICAM3 / CD50 Conjugated Antibody[C57053]](https://img1.dxycdn.com/p/s14/2025/0922/632/2321321568067599691.jpg!wh200)
