相关产品推荐更多 >
万千商家帮你免费找货
0 人在求购买到急需产品
- 详细信息
- 文献和实验
- 技术资料
- 免疫原:
Recombinant protein within human CELF1 aa 1-180.
- 形态:
liquid
- 保存条件:
Store at -20˚C
- 克隆性:
Monoclonal
- 适应物种:
Human
- 保质期:
12 months
- 抗原来源:
Mouse
- 供应商:
南京赛戈巍生物科技有限公司
- 宿主:
Mouse
- 应用范围:
IHC,WB
- 靶点:
Uniprot:Q92879
- 抗体英文名:
CELF1 Antibody
- 规格:
50ul/100ul
50 kDa nuclear polyadenylated RNA-binding protein antibody
Bruno like 2 antibody
bruno like protein 2 antibody
Bruno-like protein 2 antibody
BRUNOL 2 antibody
BRUNOL2 antibody
CELF 1 antibody
CELF-1 antibody
celf1 antibody
CELF1 CUGBP, Elav like family member 1 antibody
CELF1_HUMAN antibody
CUG BP and ETR 3 like factor 1 antibody
CUG BP antibody
CUG BP1 antibody
CUG RNA binding protein antibody
CUG triplet repeat RNA binding protein 1 antibody
CUG triplet repeat RNA-binding protein 1 antibody
CUG-BP antibody
CUG-BP- and ETR-3-like factor 1 antibody
CUG-BP1 antibody
CUGBP 1 antibody
CUGBP and ETR3 like factor 1 antibody
CUGBP antibody
CUGBP Elav like family member 1 antibody
CUGBP Elav-like family member 1 antibody
CUGBP1 antibody
Cytidine uridine guanosine binding protein 1 antibody
Deadenylation factor CUG BP antibody
Deadenylation factor CUG-BP antibody
Deadenylation factor CUGBP antibody
EDEN BP antibody
EDEN BP homolog antibody
EDEN-BP antibody
EDEN-BP homolog antibody
embryo deadenylation element binding protein antibody
embryo deadenylation element binding protein homolog antibody
Embryo deadenylation element-binding protein homolog antibody
hNab 50 antibody
hNab50 antibody
NAB 50 antibody
NAB50 antibody
NAPOR antibody
Nuclear polyadenylated RNA binding protein 50 kD antibody
Nuclear polyadenylated RNA binding protein antibody
RNA binding protein BRUNOL 2 antibody
RNA binding protein BRUNOL2 antibody
RNA-binding protein BRUNOL-2 antibody
计算分子量:52 kDa
配方:1*TBS (pH7.4), 0.5%BSA, 50%Glycerol. Preservative: 0.05% Sodium Azide.
应用详情:
IHC: 1:50-1:200
图片:

Western blot analysis of CELF1 on Daudi cell lysate using anti-CELF1 antibody at 1/5,000 dilution.
,

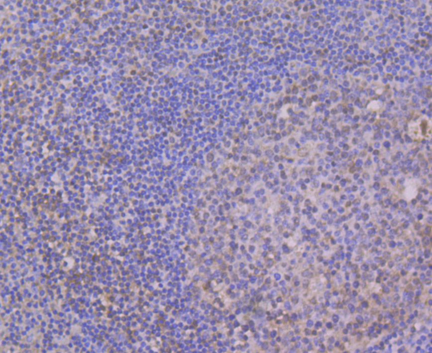
Immunohistochemical analysis of paraffin-embedded human spleen tissue using anti-CELF1 antibody. Counter stained with hematoxylin.
,

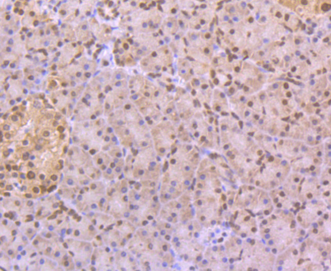
Immunohistochemical analysis of paraffin-embedded human pancreas tissue using anti-CELF1 antibody. Counter stained with hematoxylin.
,

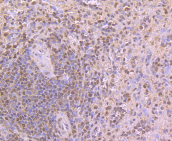
Immunohistochemical analysis of paraffin-embedded human tonsil tissue using anti-CELF1 antibody. Counter stained with hematoxylin.
风险提示:丁香通仅作为第三方平台,为商家信息发布提供平台空间。用户咨询产品时请注意保护个人信息及财产安全,合理判断,谨慎选购商品,商家和用户对交易行为负责。对于医疗器械类产品,请先查证核实企业经营资质和医疗器械产品注册证情况。
文献和实验Generation of Antibody Molecules Through Antibody Engineering
been overcome to a large extent using genetic-engineering techniques to produce chimeric mouse/human and completely human antibodies. Such an approach is particularly suitable because of the domain structure of the antibody molecule ( 2 ), where functional
The importance of antibody molecules was first recognized in the 1890s, when it was shown that immunity to tetanus and diphtheria was caused by antibodies against the bacterial exotoxins (1 ). Around the same time, it was shown that antisera
General comments: Antibodies, like most proteins, do not like to be freeze-thawed. Avoid repetitive freezing of your solution. The best way to store your antibody is to keep a high protein concentration (>1 mg/ml), add some protease
技术资料暂无技术资料 索取技术资料





![SLAMF6 Polyclonal Antibody[27384]](https://img1.dxycdn.com/p/s14/2025/0923/305/2150219664296040791.jpg!wh200)
![ETFB Antibody[37558]](https://img1.dxycdn.com/p/s14/2025/0922/359/6146153295428599691.jpg!wh200)
![IL-29 Polyclonal Antibody[41703]](https://img1.dxycdn.com/p/s14/2025/0922/568/0046652811090600791.jpg!wh200)


