相关产品推荐更多 >
万千商家帮你免费找货
0 人在求购买到急需产品
- 详细信息
- 文献和实验
- 技术资料
- 免疫原:
peptide
- 形态:
liquid
- 保存条件:
Store at -20˚C
- 克隆性:
Polyclonal
- 适应物种:
Human;Mouse;Rat
- 保质期:
12 months
- 抗原来源:
Rabbit
- 供应商:
南京赛戈巍生物科技有限公司
- 宿主:
Rabbit
- 应用范围:
WB, ICC, IHC, FC
- 靶点:
Uniprot:P67809
- 抗体英文名:
YBOX1 / YB-1 Antibody
- 规格:
50ul/100ul
CBF-A antibody
CCAAT binding transcription factor I subunit A antibody
CCAAT-binding transcription factor I subunit A antibody
CSDA2 antibody
CSDB antibody
DBPB antibody
DNA binding protein B antibody
DNA-binding protein B antibody
EFI-A antibody
Enhancer factor I subunit A antibody
MDR NF1 antibody
MGC104858 antibody
MGC110976 antibody
MGC117250 antibody
NSEP 1 antibody
NSEP1 antibody
Nuclease sensitive element binding protein 1 antibody
Nuclease-sensitive element-binding protein 1 antibody
p50 antibody
Q15905 antibody
Y-box binding protein 1 antibody
Y-box transcription factor antibody
Y-box-binding protein 1 antibody
YB 1 antibody
YB-1 antibody
YBOX1_HUMAN antibody
YBX 1 antibody
ybx1 antibody
计算分子量:40kDa
配方:1*TBS (pH7.4), 1%BSA, 40%Glycerol. Preservative: 0.05% Sodium Azide.
应用详情:WB: 1:1,000
IHC: 1:50-1:200
ICC: 1:50-1:200
FC: 1:50-1:100
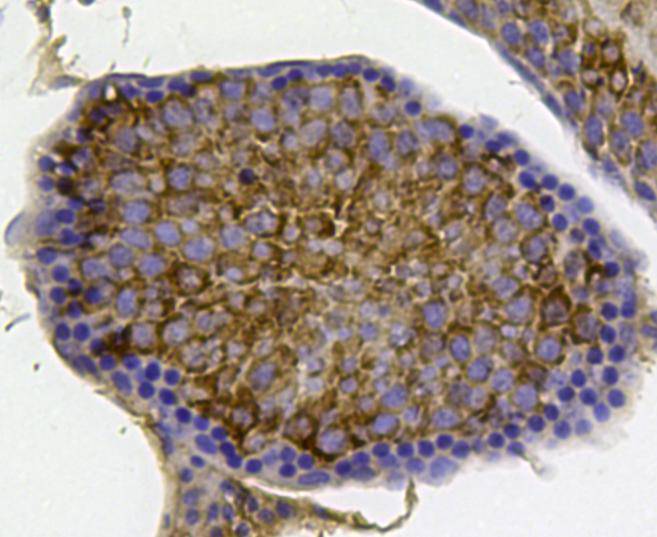
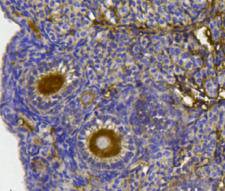
图片:

Western blot analysis on mouse testis lysates using anti-YB1 rabbit polyclonal antibody.
,

Immunohistochemical analysis of paraffin- embedded mouse testis tissue using anti-YB1 rabbit polyclonal antibody.
,

Immunohistochemical analysis of paraffin- embedded mouse ovary tissue using anti-YB1 rabbit polyclonal antibody.
,

Immunocytochemical staining of Hela cells using anti-YB1 rabbit polyclonal antibody.
,

Flow cytometric analysis of Hela cells with YB1 antibody at 1/50 dilution (blue) compared with an unlabelled control (cells without incubation with primary antibody; red). Alexa Fluor 488-conjugated Goat anti rabbit IgG was used as the secondary antibody.
风险提示:丁香通仅作为第三方平台,为商家信息发布提供平台空间。用户咨询产品时请注意保护个人信息及财产安全,合理判断,谨慎选购商品,商家和用户对交易行为负责。对于医疗器械类产品,请先查证核实企业经营资质和医疗器械产品注册证情况。
文献和实验Notes on Making Rat x Y3 Monoclonal Antibody Producing Hybridomas
Although Y3/Ag1.2.3 has its own myeloma light chain, their are numerous characteristics that make this a better parent line for making hybridomas than the 'Y0' chain loss variants or using NS0 to make rat x mouse hybrids. These are: a) Hybridomas
There is an increasing interest in the preparation of rat � rat hybridomas, because they have been found to be more stable in culture than mouse hybridomas and they secrete consistently high levels (10 �g/mL and above) of monoclonal antibody
人转录因子E2F1 ( E2F1 )ELISA 试剂盒 原理 本实验采用双抗体夹心 ABC-ELISA 法。用抗人 E2F1 单抗包被于酶标板上,标准品和样品中的 E2F1与单抗结合,加入生物素化的抗人 E2F1 ,形成免疫复合物连接在板上,辣根过氧化物酶标记的 Streptavidin 与生物素结合,加入底物工作液显蓝色,最后加终止液硫酸,在 450nm 处测 OD 值,E2F1 浓度与 OD 值成正比
技术资料暂无技术资料 索取技术资料





![NRIP3 Antibody[36660]](https://img1.dxycdn.com/p/s14/2025/0922/359/6146153295428599691.jpg!wh200)
![ARF1 Conjugated Antibody[C49120]](https://img1.dxycdn.com/p/s14/2025/0923/305/2150219664296040791.jpg!wh200)


