相关产品推荐更多 >
万千商家帮你免费找货
0 人在求购买到急需产品
- 详细信息
- 文献和实验
- 技术资料
- 免疫原:
Synthetic peptide of human GUCY1B2
- 形态:
liquid
- 保存条件:
Store at -20˚C
- 克隆性:
Polyclonal
- 适应物种:
Human
- 保质期:
12 months
- 抗原来源:
Rabbit
- 供应商:
南京赛戈巍生物科技有限公司
- 宿主:
Rabbit
- 应用范围:
IHC
- 靶点:
Uniprot:O75343
- 抗体英文名:
GUCY1B2 Antibody
- 规格:
50ul/100ul
配方:Rabbit IgG in pH7.4 PBS, 0.05% NaN3, 40% Glycerol.
应用详情:
IHC dilution:1: 20-100
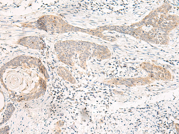
图片:

The image is immunohistochemistry of paraffin-embedded Human esophagus cancer tissue using 47785(GUCY1B2 Antibody) at dilution 1/20.(Original magnification: 200)
,

The image is immunohistochemistry of paraffin-embedded Human tonsil tissue using 47785(GUCY1B2 Antibody) at dilution 1/20.(Original magnification: 200)
风险提示:丁香通仅作为第三方平台,为商家信息发布提供平台空间。用户咨询产品时请注意保护个人信息及财产安全,合理判断,谨慎选购商品,商家和用户对交易行为负责。对于医疗器械类产品,请先查证核实企业经营资质和医疗器械产品注册证情况。
文献和实验RNAdraw是一个进行RNA二级结构计算的软件。 1.RNAdraw 是windows下的多文档窗口(multiple document interface)软件,允许你同时打开多个数据处理窗口。主窗口的工具条提供一些基本功能:打开文件、导入文件、关闭文件、设置程序参数、重排窗口、以及即时帮助和退出程序。主窗口底部状态栏最左边的方框显示鼠标所在的菜单命令的提示信息,而右边三个方框提供了当前激活窗口内容的信息。 2.RNAdraw中一个非常非常重要的特征是鼠标右键菜单打开的菜单
Anti-c-erb1B2 Ribozyme for Gene Therapy of Breast Cancer
The application of antioncogene ribozyme in the gene therapy of breast cancer by means of recombinant adenoviral vector is dicussed in this chapter. We have shown that recombinant adenovirus encoding anti-cerbB2 ribozyme inhibited the breast
Generation of Antibody Molecules Through Antibody Engineering
been overcome to a large extent using genetic-engineering techniques to produce chimeric mouse/human and completely human antibodies. Such an approach is particularly suitable because of the domain structure of the antibody molecule ( 2 ), where functional
技术资料暂无技术资料 索取技术资料





![AHSA1 Antibody[39721]](https://img1.dxycdn.com/p/s14/2025/0922/359/6146153295428599691.jpg!wh200)
![ChemR23 Polyclonal Conjugated Antibody[C40737]](https://img1.dxycdn.com/p/s14/2025/0923/278/4431488150116040791.jpg!wh200)
![JPT2 Antibody[47286]](https://img1.dxycdn.com/p/s14/2025/0923/496/0462304380155040791.jpg!wh200)


