相关产品推荐更多 >
万千商家帮你免费找货
0 人在求购买到急需产品
- 详细信息
- 技术资料
- 免疫原:
Fusion protein of human SORBS2
- 形态:
liquid
- 保存条件:
Store at -20˚C
- 克隆性:
Polyclonal
- 适应物种:
Human;Mouse;Rat
- 保质期:
12 months
- 抗原来源:
Rabbit
- 供应商:
南京赛戈巍生物科技有限公司
- 宿主:
Rabbit
- 应用范围:
IHC
- 靶点:
Uniprot:O94875
- 抗体英文名:
SORBS2 Antibody
- 规格:
50ul/100ul
别名:ARGBP2; PRO0618
配方:Rabbit IgG in pH7.4 PBS, 0.05% NaN3, 40% Glycerol.
应用详情:
图片:
配方:Rabbit IgG in pH7.4 PBS, 0.05% NaN3, 40% Glycerol.
应用详情:
IHC dilution:1: 150-300
图片:
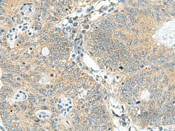
![SORBS2 Antibody[47424]](https://img1.dxycdn.com/p/s14/2025/0923/266/4471783618370140791.jpg)
The image is immunohistochemistry of paraffin-embedded Human liver cancer tissue using 47424(SORBS2 Antibody) at dilution 1/160.(Original magnification: 200)
,
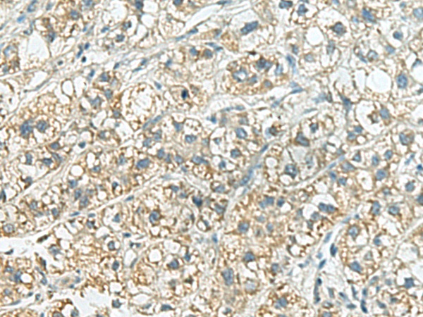
![SORBS2 Antibody[47424]](https://img1.dxycdn.com/p/s14/2025/0923/675/6102499618370140791.jpg)
The image is immunohistochemistry of paraffin-embedded Human colorectal cancer tissue using 47424(SORBS2 Antibody) at dilution 1/160.(Original magnification: 200)
风险提示:丁香通仅作为第三方平台,为商家信息发布提供平台空间。用户咨询产品时请注意保护个人信息及财产安全,合理判断,谨慎选购商品,商家和用户对交易行为负责。对于医疗器械类产品,请先查证核实企业经营资质和医疗器械产品注册证情况。
技术资料暂无技术资料 索取技术资料
SORBS2 Antibody[47424]
询价


![SORBS2 Antibody[47424]](https://img1.dxycdn.com/p/s14/2025/0923/496/0462304380155040791.jpg)


![APLN Antibody[43216]](https://img1.dxycdn.com/p/s14/2025/0922/568/0046652811090600791.jpg!wh200)
![IL10 antibody[38392]](https://img1.dxycdn.com/p/s14/2025/0922/359/6146153295428599691.jpg!wh200)
![BACE1 Conjugated Antibody[C56173]](https://img1.dxycdn.com/p/s14/2025/0922/632/2321321568067599691.jpg!wh200)
![SHP2 Conjugated Antibody[C49047]](https://img1.dxycdn.com/p/s14/2025/0923/305/2150219664296040791.jpg!wh200)
