相关产品推荐更多 >
万千商家帮你免费找货
0 人在求购买到急需产品
- 详细信息
- 技术资料
- 免疫原:
Fusion protein of human EXD2
- 形态:
liquid
- 保存条件:
Store at -20˚C
- 克隆性:
Polyclonal
- 适应物种:
Human;Mouse
- 保质期:
12 months
- 抗原来源:
Rabbit
- 供应商:
南京赛戈巍生物科技有限公司
- 宿主:
Rabbit
- 应用范围:
WB, IHC
- 靶点:
Uniprot:Q9NVH0
- 抗体英文名:
EXD2 Antibody
- 规格:
50ul/100ul
别名:EXDL2; C14orf114
计算分子量:70 kDa
配方:Rabbit IgG in pH7.4 PBS, 0.05% NaN3, 40% Glycerol.
应用详情:
图片:
计算分子量:70 kDa
配方:Rabbit IgG in pH7.4 PBS, 0.05% NaN3, 40% Glycerol.
应用详情:
WB dilution:1:200-1000
IHC dilution:1: 40-200
图片:
![EXD2 Antibody[47304]](https://img1.dxycdn.com/p/s14/2025/0923/890/6581699779699040791.png)
Gel: 8%SDS-PAGE, Lysate: 40 μg, Lane: Mouse testis tissue lysate, Primary antibody:47304(EXD2 Antibody) at dilution 1/250, Secondary antibody: Goat anti rabbit IgG at 1/8000 dilution, Exposure time: 1 minute
,
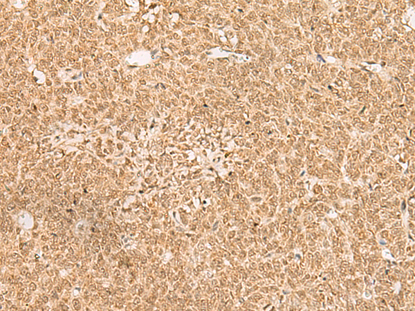
![EXD2 Antibody[47304]](https://img1.dxycdn.com/p/s14/2025/0923/085/0046044574799040791.png)
The image is immunohistochemistry of paraffin-embedded Human ovarian cancer tissue using 47304(EXD2 Antibody) at dilution 1/35.(Original magnification: 200)
风险提示:丁香通仅作为第三方平台,为商家信息发布提供平台空间。用户咨询产品时请注意保护个人信息及财产安全,合理判断,谨慎选购商品,商家和用户对交易行为负责。对于医疗器械类产品,请先查证核实企业经营资质和医疗器械产品注册证情况。
技术资料暂无技术资料 索取技术资料
EXD2 Antibody[47304]
询价


![EXD2 Antibody[47304]](https://img1.dxycdn.com/p/s14/2025/0923/496/0462304380155040791.jpg)


![CD276 Polyclonal Antibody[41691]](https://img1.dxycdn.com/p/s14/2025/0922/568/0046652811090600791.jpg!wh200)
![Rabbit Anti-Donkey IgG (H&L) - AF568[L35327]](https://img1.dxycdn.com/p/s14/2025/0922/498/0460884283108299691.jpg!wh200)
![CSTF1 Antibody[33858]](https://img1.dxycdn.com/p/s14/2025/0922/359/6146153295428599691.jpg!wh200)
![B Raf (Phospho-Thr401) Rabbit mAb[14231]](https://img1.dxycdn.com/p/s14/2025/0922/632/2321321568067599691.jpg!wh200)
