相关产品推荐更多 >
万千商家帮你免费找货
0 人在求购买到急需产品
- 详细信息
- 技术资料
- 免疫原:
Fusion protein of human THAP12
- 形态:
liquid
- 保存条件:
Store at -20˚C
- 克隆性:
Polyclonal
- 适应物种:
Human;Mouse
- 保质期:
12 months
- 抗原来源:
Rabbit
- 供应商:
南京赛戈巍生物科技有限公司
- 宿主:
Rabbit
- 应用范围:
IHC
- 靶点:
Uniprot:O43422
- 抗体英文名:
THAP12 Antibody
- 规格:
50ul/100ul
别名:DAP4; THAP0; PRKRIR; P52rIPK
配方:Rabbit IgG in pH7.4 PBS, 0.05% NaN3, 40% Glycerol.
应用详情:
图片:
配方:Rabbit IgG in pH7.4 PBS, 0.05% NaN3, 40% Glycerol.
应用详情:
IHC dilution:1: 30-150
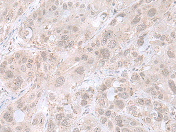
图片:
![THAP12 Antibody[47277]](https://img1.dxycdn.com/p/s14/2025/0923/453/4490949488979040791.png)
The image is immunohistochemistry of paraffin-embedded Human esophagus cancer tissue using 47277(THAP12 Antibody) at dilution 1/45. (Original magnification: 200)
风险提示:丁香通仅作为第三方平台,为商家信息发布提供平台空间。用户咨询产品时请注意保护个人信息及财产安全,合理判断,谨慎选购商品,商家和用户对交易行为负责。对于医疗器械类产品,请先查证核实企业经营资质和医疗器械产品注册证情况。
技术资料暂无技术资料 索取技术资料
THAP12 Antibody[47277]
询价


![THAP12 Antibody[47277]](https://img1.dxycdn.com/p/s14/2025/0923/496/0462304380155040791.jpg)


![CASP1 Conjugated Antibody[C32096]](https://img1.dxycdn.com/p/s14/2025/0923/278/4431488150116040791.jpg!wh200)
![PROZ Polyclonal Antibody[29715]](https://img1.dxycdn.com/p/s14/2025/0923/305/2150219664296040791.jpg!wh200)
