相关产品推荐更多 >
万千商家帮你免费找货
0 人在求购买到急需产品
- 详细信息
- 技术资料
- 免疫原:
Fusion protein of human THOP1
- 形态:
liquid
- 保存条件:
Store at -20˚C
- 克隆性:
Polyclonal
- 适应物种:
Human;Mouse;Rat
- 保质期:
12 months
- 抗原来源:
Rabbit
- 供应商:
南京赛戈巍生物科技有限公司
- 宿主:
Rabbit
- 应用范围:
WB, IHC
- 靶点:
Uniprot:P52888
- 抗体英文名:
THOP1 Antibody
- 规格:
50ul/100ul
别名:TOP; MP78; EP24.15; MEPD_HUMAN
计算分子量:79 kDa
配方:Rabbit IgG in pH7.4 PBS, 0.05% NaN3, 40% Glycerol.
应用详情:
图片:
计算分子量:79 kDa
配方:Rabbit IgG in pH7.4 PBS, 0.05% NaN3, 40% Glycerol.
应用详情:
WB dilution:1:200-1000
IHC dilution:1: 30-150
图片:
![THOP1 Antibody[47258]](https://img1.dxycdn.com/p/s14/2025/0923/548/6988066612769040791.png)
Gel: 8%SDS-PAGE, Lysate: 40 μg, Lane 1-2: A172 cell and Human fetal brain tissue lysates, Primary antibody:47258(THOP1 Antibody) at dilution 1/250, Secondary antibody: Goat anti rabbit IgG at 1/8000 dilution, Exposure time: 2 minutes
,
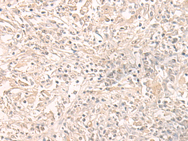
![THOP1 Antibody[47258]](https://img1.dxycdn.com/p/s14/2025/0923/432/0698443116769040791.png)
The image is immunohistochemistry of paraffin-embedded Human liver cancer tissue using 47258(THOP1 Antibody) at dilution 1/40.(Original magnification: 200)
风险提示:丁香通仅作为第三方平台,为商家信息发布提供平台空间。用户咨询产品时请注意保护个人信息及财产安全,合理判断,谨慎选购商品,商家和用户对交易行为负责。对于医疗器械类产品,请先查证核实企业经营资质和医疗器械产品注册证情况。
技术资料暂无技术资料 索取技术资料
THOP1 Antibody[47258]
询价


![THOP1 Antibody[47258]](https://img1.dxycdn.com/p/s14/2025/0923/496/0462304380155040791.jpg)


![CHK2 Mouse mAb[63465]](https://img1.dxycdn.com/p/s14/2025/0922/632/2321321568067599691.jpg!wh200)
![FZD3 Antibody[37069]](https://img1.dxycdn.com/p/s14/2025/0922/359/6146153295428599691.jpg!wh200)
![ZNRD1 Antibody[43369]](https://img1.dxycdn.com/p/s14/2025/0922/568/0046652811090600791.jpg!wh200)
![HOXD4 Conjugated Antibody[C47800]](https://img1.dxycdn.com/p/s14/2025/0923/305/2150219664296040791.jpg!wh200)
