相关产品推荐更多 >
万千商家帮你免费找货
0 人在求购买到急需产品
- 详细信息
- 技术资料
- 免疫原:
Synthetic peptide of human EN2
- 形态:
liquid
- 保存条件:
Store at -20˚C
- 克隆性:
Polyclonal
- 适应物种:
Human
- 保质期:
12 months
- 抗原来源:
Rabbit
- 供应商:
南京赛戈巍生物科技有限公司
- 宿主:
Rabbit
- 应用范围:
WB, IHC
- 靶点:
Uniprot:P19622
- 抗体英文名:
EN2 Antibody
- 规格:
50ul/100ul
计算分子量:34 kDa
配方:Rabbit IgG in pH7.4 PBS, 0.05% NaN3, 40% Glycerol.
应用详情:Western blotting:1:500-2000
Immunofluorescence:1: 20-100
图片:
配方:Rabbit IgG in pH7.4 PBS, 0.05% NaN3, 40% Glycerol.
应用详情:Western blotting:1:500-2000
Immunofluorescence:1: 20-100
图片:
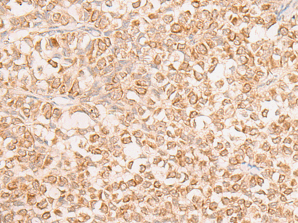
![EN2 Antibody[47108]](https://img1.dxycdn.com/p/s14/2025/0923/982/0025139141478040791.png)
The image is immunohistochemistry of paraffin-embedded Human ovarian cancer tissue using 47108(EN2 Antibody) at dilution 1/20. (Original magnification: ?00)
,
![EN2 Antibody[47108]](https://img1.dxycdn.com/p/s14/2025/0923/482/4011534747378040791.png)
Gel: 8%SDS-PAGE
Lysate: 40 μg, Lane: Jurkat cell lysate
Primary antibody:EN2 Antibody at dilution 1/400
Secondary antibody: Goat anti rabbit IgG at 1/8000 dilution
Exposure time: 5 minutes
风险提示:丁香通仅作为第三方平台,为商家信息发布提供平台空间。用户咨询产品时请注意保护个人信息及财产安全,合理判断,谨慎选购商品,商家和用户对交易行为负责。对于医疗器械类产品,请先查证核实企业经营资质和医疗器械产品注册证情况。
技术资料暂无技术资料 索取技术资料
EN2 Antibody[47108]
询价


![EN2 Antibody[47108]](https://img1.dxycdn.com/p/s14/2025/0923/496/0462304380155040791.jpg)


![NEDD4L (phospho-Ser342) rabbit pAb[13682]](https://img1.dxycdn.com/p/s14/2025/0922/498/0460884283108299691.jpg!wh200)
![KIF3B Antibody[47697]](https://img1.dxycdn.com/p/s14/2025/0923/496/0462304380155040791.jpg!wh200)
![CD355 Mouse mAb[63372]](https://img1.dxycdn.com/p/s14/2025/0922/632/2321321568067599691.jpg!wh200)
