相关产品推荐更多 >
万千商家帮你免费找货
0 人在求购买到急需产品
- 详细信息
- 技术资料
- 免疫原:
Synthetic peptide of human DZIP1
- 形态:
liquid
- 保存条件:
Store at -20˚C
- 克隆性:
Polyclonal
- 适应物种:
Human
- 保质期:
12 months
- 抗原来源:
Rabbit
- 供应商:
南京赛戈巍生物科技有限公司
- 宿主:
Rabbit
- 应用范围:
WB, IHC
- 靶点:
Uniprot:Q86YF9
- 抗体英文名:
DZIP1 Antibody
- 规格:
50ul/100ul
计算分子量:99 kDa
配方:Rabbit IgG in pH7.4 PBS, 0.05% NaN3, 40% Glycerol.
应用详情:Western blotting:1:200-1000
Immunofluorescence:1: 25-100
图片:
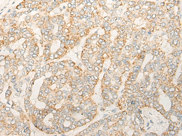
![DZIP1 Antibody[47088]](https://img1.dxycdn.com/p/s14/2025/0923/924/2365886663168040791.png)
The image is immunohistochemistry of paraffin-embedded Human liver cancer tissue using 47088(DZIP1 Antibody) at dilution 1/40. (Original magnification: ?00)
,
![DZIP1 Antibody[47088]](https://img1.dxycdn.com/p/s14/2025/0923/207/4602516713168040791.png)
The image is immunohistochemistry of paraffin-embedded Human brain tissue using 47088(DZIP1 Antibody) at dilution 1/40. (Original magnification: ?00)
,
![DZIP1 Antibody[47088]](https://img1.dxycdn.com/p/s14/2025/0923/138/6188560129068040791.png)
Gel: 6%SDS-PAGE
Lysate: 40 μg, Lane: PC-3 cell lysate
Primary antibody:DZIP1 Antibody at dilution 1/200
Secondary antibody: Goat anti rabbit IgG at 1/8000 dilution
Exposure time: 5 minutes
风险提示:丁香通仅作为第三方平台,为商家信息发布提供平台空间。用户咨询产品时请注意保护个人信息及财产安全,合理判断,谨慎选购商品,商家和用户对交易行为负责。对于医疗器械类产品,请先查证核实企业经营资质和医疗器械产品注册证情况。
技术资料暂无技术资料 索取技术资料


![DZIP1 Antibody[47088]](https://img1.dxycdn.com/p/s14/2025/0923/496/0462304380155040791.jpg)


![ATF-5 Polyclonal Antibody[40626]](https://img1.dxycdn.com/p/s14/2025/0922/568/0046652811090600791.jpg!wh200)

![C12orf75 Antibody[37781]](https://img1.dxycdn.com/p/s14/2025/0922/359/6146153295428599691.jpg!wh200)
![TMEM177 Conjugated Antibody[C48097]](https://img1.dxycdn.com/p/s14/2025/0923/305/2150219664296040791.jpg!wh200)
