相关产品推荐更多 >
万千商家帮你免费找货
0 人在求购买到急需产品
- 详细信息
- 技术资料
- 免疫原:
Synthetic peptide of human DGCR6
- 形态:
liquid
- 保存条件:
Store at -20˚C
- 克隆性:
Polyclonal
- 适应物种:
Human
- 保质期:
12 months
- 抗原来源:
Rabbit
- 供应商:
南京赛戈巍生物科技有限公司
- 宿主:
Rabbit
- 应用范围:
WB, IHC
- 靶点:
Uniprot:Q14129
- 抗体英文名:
DGCR6 Antibody
- 规格:
50ul/100ul
配方:Rabbit IgG in pH7.4 PBS, 0.05% NaN3, 40% Glycerol.
应用详情:Western blotting:1:200-1000
Immunofluorescence:1: 25-100
图片:
![DGCR6 Antibody[47049]](https://img1.dxycdn.com/p/s14/2025/0923/814/2139417603738040791.png)
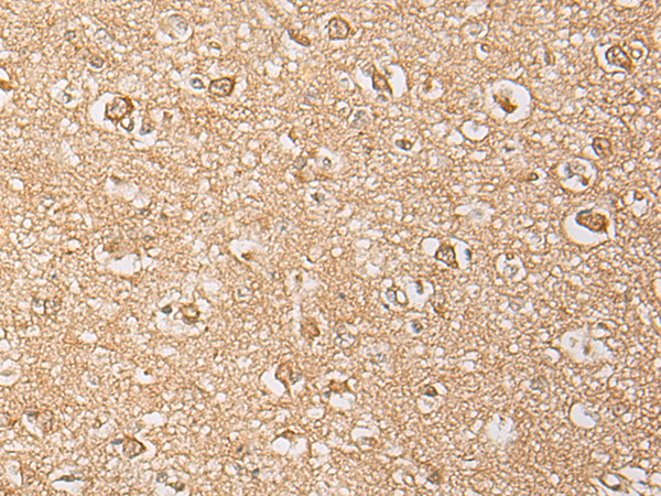
The image is immunohistochemistry of paraffin-embedded Human brain tissue using 47049(DGCR6 Antibody) at dilution 1/20. (Original magnification: ?00)
,
![DGCR6 Antibody[47049]](https://img1.dxycdn.com/p/s14/2025/0923/876/4264784792738040791.png)
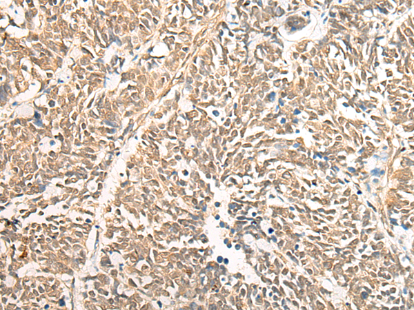
The image is immunohistochemistry of paraffin-embedded Human lung cancer tissue using 47049(DGCR6 Antibody) at dilution 1/20. (Original magnification: ?00)
,
![DGCR6 Antibody[47049]](https://img1.dxycdn.com/p/s14/2025/0923/985/0658549797638040791.png)
Gel: 12%SDS-PAGE
Lysate: 40 μg, Lane: 293T cell lysate
Primary antibody:DGCR6 Antibody at dilution 1/300
Secondary antibody: Goat anti rabbit IgG at 1/8000 dilution
Exposure time: 20 seconds
风险提示:丁香通仅作为第三方平台,为商家信息发布提供平台空间。用户咨询产品时请注意保护个人信息及财产安全,合理判断,谨慎选购商品,商家和用户对交易行为负责。对于医疗器械类产品,请先查证核实企业经营资质和医疗器械产品注册证情况。
技术资料暂无技术资料 索取技术资料


![DGCR6 Antibody[47049]](https://img1.dxycdn.com/p/s14/2025/0923/496/0462304380155040791.jpg)


![KDM4A Mouse mAb[63816]](https://img1.dxycdn.com/p/s14/2025/0922/632/2321321568067599691.jpg!wh200)
![BOP1 Rabbit Polyclonal Antibody[54659]](https://img1.dxycdn.com/p/s14/2025/0922/498/0460884283108299691.jpg!wh200)
![KHK Antibody[36230]](https://img1.dxycdn.com/p/s14/2025/0922/359/6146153295428599691.jpg!wh200)
![AMY1A Polyclonal Antibody[42633]](https://img1.dxycdn.com/p/s14/2025/0922/568/0046652811090600791.jpg!wh200)
![IER5 Conjugated Antibody[C47645]](https://img1.dxycdn.com/p/s14/2025/0923/305/2150219664296040791.jpg!wh200)
