相关产品推荐更多 >
万千商家帮你免费找货
0 人在求购买到急需产品
- 详细信息
- 技术资料
- 免疫原:
Fusion protein of human DDX50
- 形态:
liquid
- 保存条件:
Store at -20˚C
- 克隆性:
Polyclonal
- 适应物种:
Human
- 保质期:
12 months
- 抗原来源:
Rabbit
- 供应商:
南京赛戈巍生物科技有限公司
- 宿主:
Rabbit
- 应用范围:
WB, IHC
- 靶点:
Uniprot:Q9BQ39
- 抗体英文名:
DDX50 Antibody
- 规格:
50ul/100ul
计算分子量:83 kDa
配方:Rabbit IgG in pH7.4 PBS, 0.05% NaN3, 40% Glycerol.
应用详情:Western blotting:1:200-1000
Immunofluorescence:1: 25-100
图片:
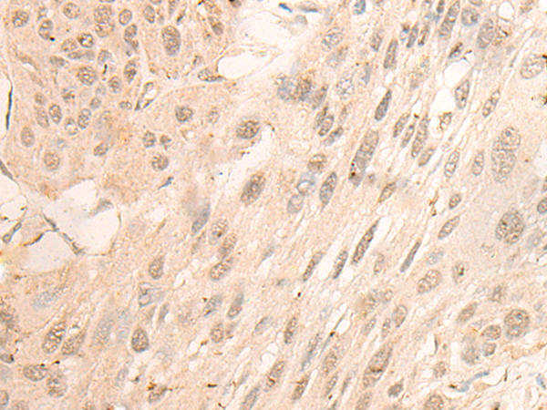
![DDX50 Antibody[47041]](https://img1.dxycdn.com/p/s14/2025/0923/038/2369099524238040791.png)
The image is immunohistochemistry of paraffin-embedded Human esophagus cancer tissue using 47041(DDX50 Antibody) at dilution 1/30. (Original magnification: ?00)
,
![DDX50 Antibody[47041]](https://img1.dxycdn.com/p/s14/2025/0923/198/0426852974238040791.png)
The image is immunohistochemistry of paraffin-embedded Human tonsil tissue using 47041(DDX50 Antibody) at dilution 1/30. (Original magnification: ?00)
,
![DDX50 Antibody[47041]](https://img1.dxycdn.com/p/s14/2025/0923/328/2937493189138040791.png)
Gel: 6%SDS-PAGE
Lysate: 40 μg, Lane 1-2: K562 and 293T cell lysates
Primary antibody:DDX50 Antibody at dilution 1/350
Secondary antibody: Goat anti rabbit IgG at 1/8000 dilution
Exposure time: 5 seconds
风险提示:丁香通仅作为第三方平台,为商家信息发布提供平台空间。用户咨询产品时请注意保护个人信息及财产安全,合理判断,谨慎选购商品,商家和用户对交易行为负责。对于医疗器械类产品,请先查证核实企业经营资质和医疗器械产品注册证情况。
技术资料暂无技术资料 索取技术资料


![DDX50 Antibody[47041]](https://img1.dxycdn.com/p/s14/2025/0923/496/0462304380155040791.jpg)


![AFP Rabbit mAb[56141]](https://img1.dxycdn.com/p/s14/2025/0922/632/2321321568067599691.jpg!wh200)
![ADAM17 Antibody[36043]](https://img1.dxycdn.com/p/s14/2025/0922/359/6146153295428599691.jpg!wh200)
![ureA Polyclonal Antibody[42580]](https://img1.dxycdn.com/p/s14/2025/0922/568/0046652811090600791.jpg!wh200)
![ADAM19 Conjugated Antibody[C43115]](https://img1.dxycdn.com/p/s14/2025/0923/278/4431488150116040791.jpg!wh200)
