相关产品推荐更多 >
万千商家帮你免费找货
0 人在求购买到急需产品
- 详细信息
- 技术资料
- 免疫原:
Fusion protein of human COMMD1
- 形态:
liquid
- 保存条件:
Store at -20˚C
- 克隆性:
Polyclonal
- 适应物种:
Human
- 保质期:
12 months
- 抗原来源:
Rabbit
- 供应商:
南京赛戈巍生物科技有限公司
- 宿主:
Rabbit
- 应用范围:
WB, IHC
- 靶点:
Uniprot:Q8N668
- 抗体英文名:
COMMD1 Antibody
- 规格:
50ul/100ul
计算分子量:21 kDa
配方:Rabbit IgG in pH7.4 PBS, 0.05% NaN3, 40% Glycerol.
应用详情:Western blotting:1:200-1000
Immunofluorescence:1: 25-100
图片:
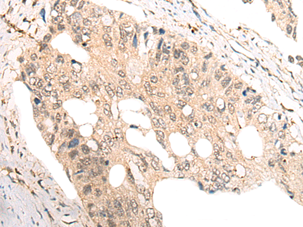
![COMMD1 Antibody[46969]](https://img1.dxycdn.com/p/s14/2025/0923/919/2709505210887040791.png)
The image is immunohistochemistry of paraffin-embedded Human lung cancer tissue using 46969(COMMD1 Antibody) at dilution 1/35. (Original magnification: ?00)
,
![COMMD1 Antibody[46969]](https://img1.dxycdn.com/p/s14/2025/0923/782/2785501939787040791.png)
The image is immunohistochemistry of paraffin-embedded Human colorectal cancer tissue using 46969(COMMD1 Antibody) at dilution 1/35. (Original magnification: ?00)
,
![COMMD1 Antibody[46969]](https://img1.dxycdn.com/p/s14/2025/0923/776/0612718195787040791.png)
Gel: 12%SDS-PAGE
Lysate: 40 μg, Lane 1-5: HepG2, Hela, A549, Jurkat and 231 cell lysates
Primary antibody:COMMD1 Antibody at dilution 1/400
Secondary antibody: Goat anti rabbit IgG at 1/8000 dilution
Exposure time: 3 seconds
风险提示:丁香通仅作为第三方平台,为商家信息发布提供平台空间。用户咨询产品时请注意保护个人信息及财产安全,合理判断,谨慎选购商品,商家和用户对交易行为负责。对于医疗器械类产品,请先查证核实企业经营资质和医疗器械产品注册证情况。
技术资料暂无技术资料 索取技术资料


![COMMD1 Antibody[46969]](https://img1.dxycdn.com/p/s14/2025/0923/496/0462304380155040791.jpg)



![Rabbit Anti-Bovine IgG (H&L) HRP[L35011]](https://img1.dxycdn.com/p/s14/2025/0922/498/0460884283108299691.jpg!wh200)
![TRIM39 Antibody[47225]](https://img1.dxycdn.com/p/s14/2025/0923/496/0462304380155040791.jpg!wh200)
![CMP-N-acetylneuraminate-beta-1,4-galactoside alpha-2,3-sialyltransferase Polyclonal Antibody[42642]](https://img1.dxycdn.com/p/s14/2025/0922/568/0046652811090600791.jpg!wh200)
