相关产品推荐更多 >
万千商家帮你免费找货
0 人在求购买到急需产品
- 详细信息
- 技术资料
- 免疫原:
Synthetic protein corresponding to residues near the C terminal of human USP6NL
- 形态:
liquid
- 保存条件:
Store at -20˚C
- 克隆性:
Polyclonal
- 适应物种:
Human
- 保质期:
12 months
- 抗原来源:
Rabbit
- 供应商:
南京赛戈巍生物科技有限公司
- 宿主:
Rabbit
- 应用范围:
WB IHC
- 靶点:
Uniprot:Q92738
- 抗体英文名:
USP6NL Antibody
- 规格:
50ul/100ul
计算分子量:94 kDa
配方:Rabbit IgG in pH7.4 PBS, 0.05% NaN3, 40% Glycerol.
应用详情:Western blotting: 1:500-1:2000
Immunohistochemistry: 1: 25-100
图片:
![USP6NL Antibody[46700]](https://img1.dxycdn.com/p/s14/2025/0923/668/2996534755637040791.jpg)
Gel: 8%SDS-PAGE
lysate: 40 |ìg, Lane: 293T cell lysate,
Primary antibody: 46700£¨USP6NL Antibody) at dilution 1/400
Secondary antibody: Goat anti rabbit IgG at 1/8000 dilution,
Exposure time: 2 minutes
,
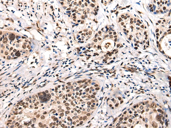
![USP6NL Antibody[46700]](https://img1.dxycdn.com/p/s14/2025/0923/596/4283940477637040791.jpg)
The image on the left is immunohistochemistry of paraffin-embedded Human cervical cancer tissue using 46700(USP6NL Antibody) at dilution 1/30, on the right is treated with fusion protein. (Original magnification: x200)
风险提示:丁香通仅作为第三方平台,为商家信息发布提供平台空间。用户咨询产品时请注意保护个人信息及财产安全,合理判断,谨慎选购商品,商家和用户对交易行为负责。对于医疗器械类产品,请先查证核实企业经营资质和医疗器械产品注册证情况。
技术资料暂无技术资料 索取技术资料


![USP6NL Antibody[46700]](https://img1.dxycdn.com/p/s14/2025/0923/496/0462304380155040791.jpg)


![GRIA3 Mouse mAb[63690]](https://img1.dxycdn.com/p/s14/2025/0922/632/2321321568067599691.jpg!wh200)
![USP12 Antibody[46696]](https://img1.dxycdn.com/p/s14/2025/0923/496/0462304380155040791.jpg!wh200)
![IL21R Rabbit Polyclonal Antibody[29671]](https://img1.dxycdn.com/p/s14/2025/0922/498/0460884283108299691.jpg!wh200)
![PP2A-Cα Polyclonal Antibody[41357]](https://img1.dxycdn.com/p/s14/2025/0922/568/0046652811090600791.jpg!wh200)
