相关产品推荐更多 >
万千商家帮你免费找货
0 人在求购买到急需产品
- 详细信息
- 文献和实验
- 技术资料
- 免疫原:
Synthetic peptide corresponding to residues near the N terminal of human L1RE1
- 形态:
liquid
- 保存条件:
Store at -20˚C
- 克隆性:
Polyclonal
- 适应物种:
Human
- 保质期:
12 months
- 抗原来源:
Rabbit
- 供应商:
南京赛戈巍生物科技有限公司
- 宿主:
Rabbit
- 应用范围:
WB IHC
- 靶点:
Uniprot:Q9UN81
- 抗体英文名:
L1RE1 Antibody
- 规格:
50ul/100ul
计算分子量:40 kDa
配方:Rabbit IgG in pH7.4 PBS, 0.05% NaN3, 40% Glycerol.
应用详情:Western blotting: 1:200-1:1000
Immunohistochemistry: 1: 25-100
图片:

Gel: 8%SDS-PAGE
lysate: 40 |ìg, Lane 1-2: A431 and 293T cell lysates,
Primary antibody: 46595£¨L1RE1 Antibody) at dilution 1/200
Secondary antibody: Goat anti rabbit IgG at 1/8000 dilution,
Exposure time: 10 seconds
,

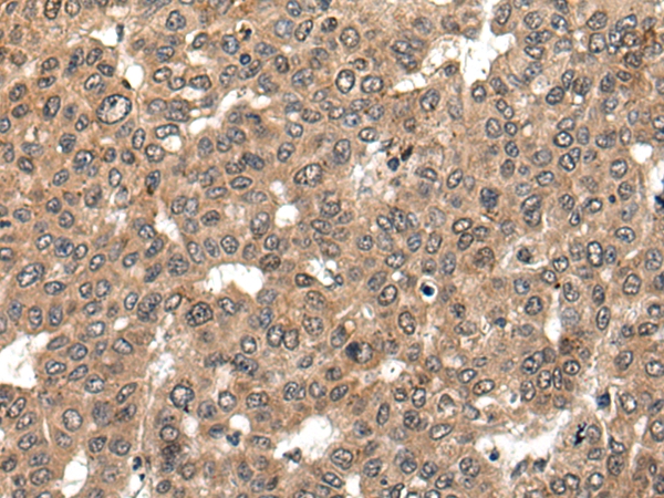
The image on the left is immunohistochemistry of paraffin-embedded Human liver cancer tissue using 46595(L1RE1 Antibody) at dilution 1/20, on the right is treated with synthetic peptide. (Original magnification: x200)
,

The image on the left is immunohistochemistry of paraffin-embedded Human ovarian cancer tissue using 46595(L1RE1 Antibody) at dilution 1/20, on the right is treated with synthetic peptide. (Original magnification: x200)
风险提示:丁香通仅作为第三方平台,为商家信息发布提供平台空间。用户咨询产品时请注意保护个人信息及财产安全,合理判断,谨慎选购商品,商家和用户对交易行为负责。对于医疗器械类产品,请先查证核实企业经营资质和医疗器械产品注册证情况。
文献和实验2015 年 12 月,美国前总统吉米 · 卡特在接受了靶向放疗和免疫抗癌新药 Keytruda(PD-1 抑制剂,MSD)治疗后,医生发现,在他的脑部磁共振扫描图像中,此前出现的黑色素瘤(Melanoma)与新生的癌细胞都彻底消失了。这种治疗效果引起了业内的广泛关注,也彰显了 PD-1/PD-L1 免疫疗法在肿瘤治疗中的巨大潜力。PD-1/PD-L1 是什么?1992 年,日本京都大学 Tasuku Honjo 教授首次报道并克隆了 PD-1 基因[1]。1999 年,华人学者陈列平教授报道
宽度:562 px高度:343 px维持原图长宽比:确认自 2011 年第一个免疫检验点 CTLA4 抑制剂伊匹单抗(Ipilimumab)获批上市以来,肿瘤免疫疗法越来越受到重视。特别是近几年陆续获批 PD1/PD-L1 单抗药物在临床治疗中的不断突破,肿瘤免疫治疗已从 1.0 时代进入 2.0 时代。免疫疗法适应症也在不断拓展,从黑色素瘤逐渐延伸到非小细胞肺癌、膀胱癌、头颈癌霍奇金淋巴瘤等癌症的治疗。针对 PD1/PD-L1 免疫检验点的单抗药物无疑是肿瘤免疫治疗中当之无愧的明星,其中 O
「神药」再显威!杨黄浩等让二甲双胍扮演 PD-L1 「单抗」角色,提高治疗效果
ICBs 的抗肿瘤效果。 该研究成果以 Reducing PD-L1 expression with a self-assembled nanodrug: an alternative to PD-L1 antibody for enhanced chemo-immunotherapy. 为题,发表在了 2021 年 1 月 1 日的 Theranostics 上 [1]。 图片来源:Theranostics 研究内容:此前有研究报道,二甲双胍可以抑制肿瘤进展,改善癌症患者的预后和生存率。此外,也有研
技术资料暂无技术资料 索取技术资料





![Myoglobin Monoclonal Antibody[42039]](https://img1.dxycdn.com/p/s14/2025/0922/568/0046652811090600791.jpg!wh200)
![FOXD2 Antibody[36864]](https://img1.dxycdn.com/p/s14/2025/0922/359/6146153295428599691.jpg!wh200)
![PEG10 Conjugated Antibody[C31112]](https://img1.dxycdn.com/p/s14/2025/0923/278/4431488150116040791.jpg!wh200)
![CHRNA4 Mouse mAb[63471]](https://img1.dxycdn.com/p/s14/2025/0922/632/2321321568067599691.jpg!wh200)
