相关产品推荐更多 >
万千商家帮你免费找货
0 人在求购买到急需产品
- 详细信息
- 技术资料
- 免疫原:
Full length fusion protein of human COPS8
- 形态:
liquid
- 保存条件:
Store at -20˚C
- 克隆性:
Polyclonal
- 适应物种:
Human
- 保质期:
12 months
- 抗原来源:
Rabbit
- 供应商:
南京赛戈巍生物科技有限公司
- 宿主:
Rabbit
- 应用范围:
IHC
- 靶点:
Uniprot:Q99627
- 抗体英文名:
COPS8 Antibody
- 规格:
50ul/100ul
别名:COP9; CSN8; SGN8
配方:Rabbit IgG in pH7.4 PBS, 0.05% NaN3, 40% Glycerol.
应用详情:
Immunohistochemistry: 1: 25-100
图片:
配方:Rabbit IgG in pH7.4 PBS, 0.05% NaN3, 40% Glycerol.
应用详情:
Immunohistochemistry: 1: 25-100
图片:
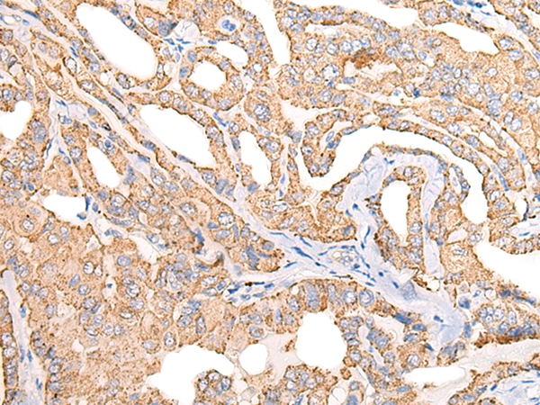
![COPS8 Antibody[46535]](https://img1.dxycdn.com/p/s14/2025/0923/197/2382512750166040791.jpg)
The image on the left is immunohistochemistry of paraffin-embedded Human thyroid cancer tissue using 46535(COPS8 Antibody) at dilution 1/20, on the right is treated with fusion protein. (Original magnification: x200)
,
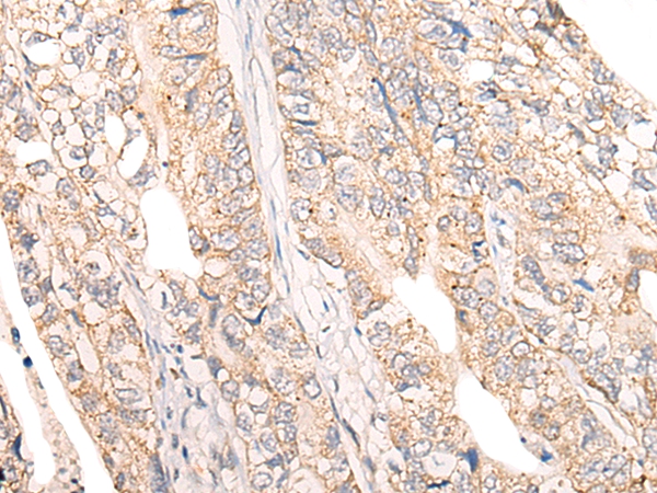
![COPS8 Antibody[46535]](https://img1.dxycdn.com/p/s14/2025/0923/944/8066551150166040791.jpg)
The image on the left is immunohistochemistry of paraffin-embedded Human gastric cancer tissue using 46535(COPS8 Antibody) at dilution 1/20, on the right is treated with fusion protein. (Original magnification: x200)
风险提示:丁香通仅作为第三方平台,为商家信息发布提供平台空间。用户咨询产品时请注意保护个人信息及财产安全,合理判断,谨慎选购商品,商家和用户对交易行为负责。对于医疗器械类产品,请先查证核实企业经营资质和医疗器械产品注册证情况。
技术资料暂无技术资料 索取技术资料
COPS8 Antibody[46535]
询价


![COPS8 Antibody[46535]](https://img1.dxycdn.com/p/s14/2025/0923/496/0462304380155040791.jpg)


![Netrin-1 Polyclonal Antibody[41892]](https://img1.dxycdn.com/p/s14/2025/0922/568/0046652811090600791.jpg!wh200)
![HEATR9 Antibody[46572]](https://img1.dxycdn.com/p/s14/2025/0923/496/0462304380155040791.jpg!wh200)
![FoxP3 Polyclonal Antibody PE-Cy5 Conjugated[C90447PE-Cy5]](https://img1.dxycdn.com/p/s14/2025/0922/498/0460884283108299691.jpg!wh200)
