相关产品推荐更多 >
万千商家帮你免费找货
0 人在求购买到急需产品
- 详细信息
- 技术资料
- 免疫原:
Synthetic peptide corresponding to internal residues of human CAPN14
- 形态:
liquid
- 保存条件:
Store at -20˚C
- 克隆性:
Polyclonal
- 适应物种:
Human;Mouse
- 保质期:
12 months
- 抗原来源:
Rabbit
- 供应商:
南京赛戈巍生物科技有限公司
- 宿主:
Rabbit
- 应用范围:
WB IHC
- 靶点:
Uniprot:A8MX76
- 抗体英文名:
CAPN14 Antibody
- 规格:
50ul/100ul
配方:Rabbit IgG in pH7.4 PBS, 0.05% NaN3, 40% Glycerol.
应用详情:Western blotting: 1:500-1:2000
Immunohistochemistry: 1: 50-300
图片:
![CAPN14 Antibody[46398]](https://img1.dxycdn.com/p/s14/2025/0923/920/4893594778106040791.jpg)
Gel: 6%SDS-PAGE
lysate: 40 |ìg, Lane: Mouse heart tissue lysate,
Primary antibody: 46398£¨CAPN14 Antibody) at dilution 1/600
Secondary antibody: Goat anti rabbit IgG at 1/8000 dilution,
Exposure time: 90 seconds
,
![CAPN14 Antibody[46398]](https://img1.dxycdn.com/p/s14/2025/0923/209/2382512311206040791.jpg)
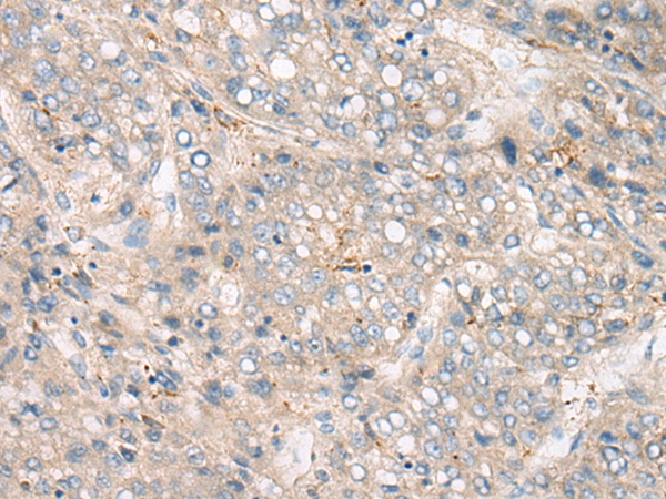
The image on the left is immunohistochemistry of paraffin-embedded Human liver cancer tissue using 46398(CAPN14 Antibody) at dilution 1/70, on the right is treated with synthetic peptide. (Original magnification: x200)
,
![CAPN14 Antibody[46398]](https://img1.dxycdn.com/p/s14/2025/0923/489/0291825950206040791.jpg)
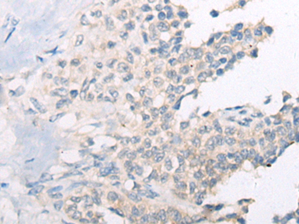
The image on the left is immunohistochemistry of paraffin-embedded Human ovarian cancer tissue using 46398(CAPN14 Antibody) at dilution 1/70, on the right is treated with synthetic peptide. (Original magnification: x200)
风险提示:丁香通仅作为第三方平台,为商家信息发布提供平台空间。用户咨询产品时请注意保护个人信息及财产安全,合理判断,谨慎选购商品,商家和用户对交易行为负责。对于医疗器械类产品,请先查证核实企业经营资质和医疗器械产品注册证情况。
技术资料暂无技术资料 索取技术资料


![CAPN14 Antibody[46398]](https://img1.dxycdn.com/p/s14/2025/0923/496/0462304380155040791.jpg)


![TSPY1 Antibody[40270]](https://img1.dxycdn.com/p/s14/2025/0922/568/0046652811090600791.jpg!wh200)

![PPP2CA antibody[39115]](https://img1.dxycdn.com/p/s14/2025/0922/359/6146153295428599691.jpg!wh200)

![NEFM Mouse mAb[63994]](https://img1.dxycdn.com/p/s14/2025/0922/632/2321321568067599691.jpg!wh200)
