相关产品推荐更多 >
万千商家帮你免费找货
0 人在求购买到急需产品
- 详细信息
- 技术资料
- 免疫原:
The antiserum was produced against synthesized peptide derived from the Internal region of human CD63.
- 形态:
liquid
- 保存条件:
Store at -20˚C
- 克隆性:
Polyclonal
- 适应物种:
Human;Mouse;Rat
- 保质期:
12 months
- 抗原来源:
Rabbit
- 供应商:
南京赛戈巍生物科技有限公司
- 宿主:
Rabbit
- 应用范围:
IF/ICC,WB,IHC-p,ELISA
- 抗体英文名:
CD63 Polyclonal Antibody
- 规格:
50ul/100ul
应用详情:
Western Blot: 1/500 - 1/2000
IHC-p: 1:100-1:300
IF: 1:50-200
ELISA: 1/20000
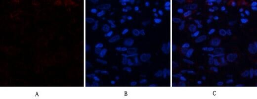
图片:

Western Blot analysis of SKOV3 cells using CD63 Polyclonal Antibody.
,

Immunohistochemical analysis of paraffin-embedded human-liver, antibody was diluted at 1:100
,

Immunofluorescence analysis of human-breast-cancer tissue. 1,CD63 Polyclonal Antibody(red) was diluted at 1:200(4°C,overnight). 2, Cy3 labled Secondary antibody was diluted at 1:300(room temperature, 50min).3, Picture B: DAPI(blue) 10min. Picture A:Target. Picture B: DAPI. Picture C: merge of A+B
风险提示:丁香通仅作为第三方平台,为商家信息发布提供平台空间。用户咨询产品时请注意保护个人信息及财产安全,合理判断,谨慎选购商品,商家和用户对交易行为负责。对于医疗器械类产品,请先查证核实企业经营资质和医疗器械产品注册证情况。
技术资料暂无技术资料 索取技术资料


![CD63 Polyclonal Antibody[44012]](https://img1.dxycdn.com/p/s14/2025/0922/498/0460884283108299691.jpg)


![CHRNA4 Mouse mAb[63471]](https://img1.dxycdn.com/p/s14/2025/0922/632/2321321568067599691.jpg!wh200)
![NFKB p65 Polyclonal Antibody FITC Conjugated[C91459FITC]](https://img1.dxycdn.com/p/s14/2025/0922/498/0460884283108299691.jpg!wh200)

