相关产品推荐更多 >
万千商家帮你免费找货
0 人在求购买到急需产品
- 详细信息
- 技术资料
- 免疫原:
Recombinant fusion protein of human DFNA5/GSDME (NP_004394.1).
- 形态:
liquid
- 保存条件:
Store at -20˚C
- 克隆性:
Polyclonal
- 适应物种:
Human;Mouse;Rat
- 保质期:
12 months
- 抗原来源:
Rabbit
- 供应商:
南京赛戈巍生物科技有限公司
- 宿主:
Rabbit
- 应用范围:
WB,IHC,IF
- 靶点:
Uniprot:O60443
- 抗体英文名:
DFNA5/GSDME Rabbit Polyclonal Antibody
- 规格:
50ul/100ul
别名:DFNA5;ICERE-1;GSDME
计算分子量:55kDa
配方:Buffer: PBS with 0.02% sodium azide,50% glycerol,pH7.3.
应用详情:
图片:
计算分子量:55kDa
配方:Buffer: PBS with 0.02% sodium azide,50% glycerol,pH7.3.
应用详情:
WB 1:500 - 1:2000
IHC 1:50 - 1:200
IF 1:50 - 1:200
图片:

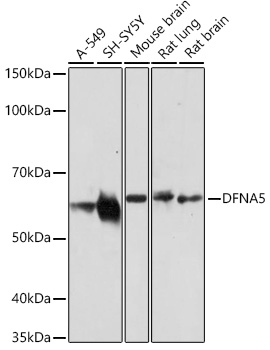
Western blot analysis of extracts of various cell lines, using DFNA5\GSDME antibody.
,

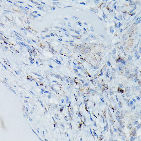
Immunohistochemistry of paraffin-embedded Human pulmonary tuberculosis using DFNA5\GSDME Rabbit pAb.
,

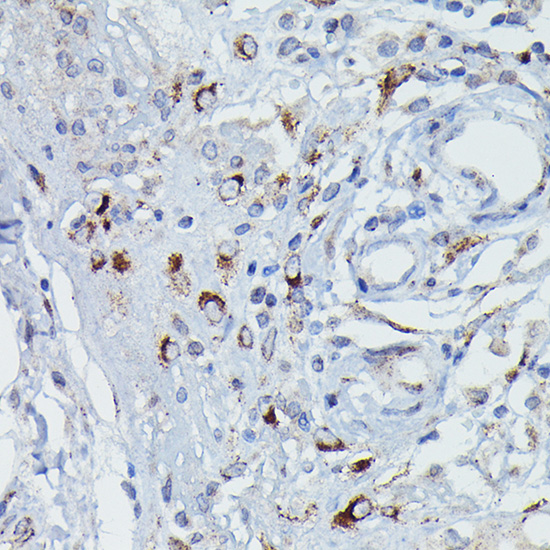
Immunohistochemistry of paraffin-embedded Human pancreatic panniculitis using DFNA5\GSDME Rabbit pAb.
风险提示:丁香通仅作为第三方平台,为商家信息发布提供平台空间。用户咨询产品时请注意保护个人信息及财产安全,合理判断,谨慎选购商品,商家和用户对交易行为负责。对于医疗器械类产品,请先查证核实企业经营资质和医疗器械产品注册证情况。
技术资料暂无技术资料 索取技术资料
DFNA5/GSDME Rabbit Polyclonal Antibody[55212]
询价


![DFNA5/GSDME Rabbit Polyclonal Antibody[55212]](https://img1.dxycdn.com/p/s14/2025/0922/498/0460884283108299691.jpg)


![Cryopyrin Polyclonal Antibody[41768]](https://img1.dxycdn.com/p/s14/2025/0922/568/0046652811090600791.jpg!wh200)
![KLHL36 Antibody[46593]](https://img1.dxycdn.com/p/s14/2025/0923/496/0462304380155040791.jpg!wh200)
![PIK3 gamma Polyclonal Antibody Biotin Conjugated[C90468Bio]](https://img1.dxycdn.com/p/s14/2025/0922/498/0460884283108299691.jpg!wh200)
