相关产品推荐更多 >
万千商家帮你免费找货
0 人在求购买到急需产品
- 详细信息
- 文献和实验
- 技术资料
- 免疫原:
A synthetic peptide of human IL-26
- 形态:
liquid
- 保存条件:
Store at -20˚C
- 克隆性:
Monoclonal antibody
- 适应物种:
Human
- 保质期:
12 months
- 抗原来源:
Recombinant Rabbit
- 供应商:
南京赛戈巍生物科技有限公司
- 宿主:
Recombinant Rabbit
- 应用范围:
WB IHC
- 靶点:
Uniprot:Q9NPH9
- 抗体英文名:
IL 26 Rabbit mAb
- 规格:
50ul/100ul
计算分子量:Calculated MW:20 kDa,Observed MW:20 kDa
配方:50nM Tris-Glycine(pH 7.4), 0.15M NaCl, 40% Glycerol, 0.01% Sodium azide and 0.05% BSA
应用详情:WB: 1/1000 IHC: 1/100
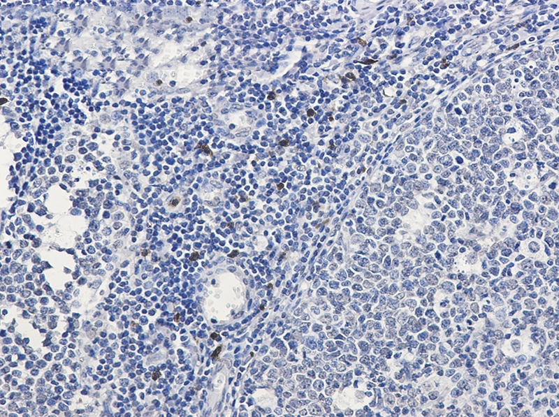
图片:

Western blot detection of IL-26 in Hela,A549,HL-60,U251 cell lysates using IL-26 Rabbit mAb(1:1000 diluted).Predicted band size:20kDa.Observed band size:20kDa.
,

Immunohistochemistry of IL-26 in paraffin-embedded Human tonsil using IL-26 Rabbit mAb at dilution 1/50
风险提示:丁香通仅作为第三方平台,为商家信息发布提供平台空间。用户咨询产品时请注意保护个人信息及财产安全,合理判断,谨慎选购商品,商家和用户对交易行为负责。对于医疗器械类产品,请先查证核实企业经营资质和医疗器械产品注册证情况。
文献和实验白细胞介素 IL-26 IL-26主要产生细胞:主要来源于活化外周血单个核细胞 IL-26氨基酸数目:171 IL-26主要生物学活性:可能参与变态反应炎症
和 DAMPs 会同时刺激 IL-1β 的释放。这个前体产生和成熟的过程受到多重调控。基础特征图 1. IL-1β 及活化裂解事件概览IL-1β 初始产生时是一个 31KD 的前体,接着裂解活化产生 17KD 的成熟形式,这样才可以与 IL-1 受体结合。Caspase-1 是主要的裂解蛋白,其可以在 IL-1β 上两个位点进行切割(D26 位和 D116 位),从而得到一个小一点的 26KD 蛋白(功能未知)和主要的 17KD 成熟形式蛋白。此外,其他的一些蛋白酶如 PR-3,Neutrophil
9.26 Nat Commun:发现细菌中的 Crispr-Cas9 防御系统
required for anther cuticle and panicle development in rice ③ Nat Commun:Chapterone 蛋白帮助调节未成熟免疫信号最近,来自慕尼黑工业大学(TUM)的研究人员领导的一个研究小组揭示了伴侣蛋白如何识别未成熟的免疫信号蛋白并阻止其离开细胞。 每当病原体进入机体时,人体的防御系统必须迅速做出反应。被称为分子伴侣的分子在细胞中保留了称为 IL23 -alpha 的白介素的一部分,直到其被掺入完整的复合物中。这样,细胞可以确保它不会
技术资料暂无技术资料 索取技术资料





![Phospho-Raf1(S621) Rabbit mAb[13419]](https://img1.dxycdn.com/p/s14/2025/0923/496/0462304380155040791.jpg!wh200)
![Twist Conjugated Antibody[C48345]](https://img1.dxycdn.com/p/s14/2025/0923/305/2150219664296040791.jpg!wh200)
![EEF1G Conjugated Antibody[C56815]](https://img1.dxycdn.com/p/s14/2025/0922/632/2321321568067599691.jpg!wh200)
