相关产品推荐更多 >
万千商家帮你免费找货
0 人在求购买到急需产品
- 详细信息
- 文献和实验
- 技术资料
- 免疫原:
A synthetic peptide of human TXN (NP_003320.2).
- 形态:
liquid
- 保存条件:
Store at -20˚C
- 克隆性:
Polyclonal
- 适应物种:
Human;Mouse;Rat
- 保质期:
12 months
- 抗原来源:
Rabbit
- 供应商:
南京赛戈巍生物科技有限公司
- 宿主:
Rabbit
- 应用范围:
WB,IHC,IF
- 靶点:
Uniprot:P10599
- 抗体英文名:
TXN Polyclonal Antibody
- 规格:
50ul/100ul
计算分子量:9kDa/11kDa
配方:Supplied at 1.0mg/mL in phosphate buffered saline (without Mg2+ and Ca2+), pH 7.4, 150mM NaCl, 0.02% sodium azide and 89% glycerol.
应用详情:WB 1:500 - 1:2000
IHC 1:50 - 1:200
IF 1:50 - 1:200
图片:

Western blot analysis of extracts of various cell lines, using TXN antibody at 1:1000 dilution.
,

Immunohistochemistry of paraffin-embedded mouse kidney using TXN antibody at dilution of 1:100 .
,

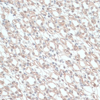
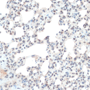
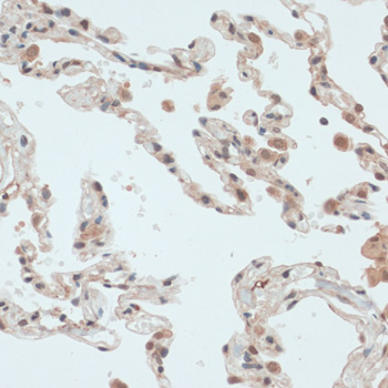
Immunohistochemistry of paraffin-embedded rat lung using TXN antibody at dilution of 1:100 .
,

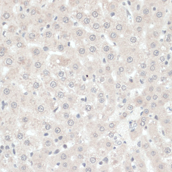
Immunohistochemistry of paraffin-embedded rat liver using TXN antibody at dilution of 1:100 .
,

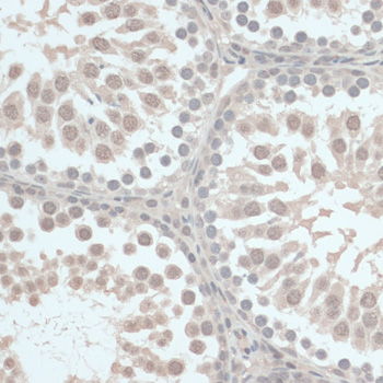
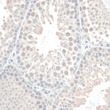
Immunohistochemistry of paraffin-embedded rat testis using TXN antibody at dilution of 1:100 .
,

Immunohistochemistry of paraffin-embedded rat brain using TXN antibody at dilution of 1:100 .
,

Immunohistochemistry of paraffin-embedded rat heart using TXN antibody at dilution of 1:100 .
,

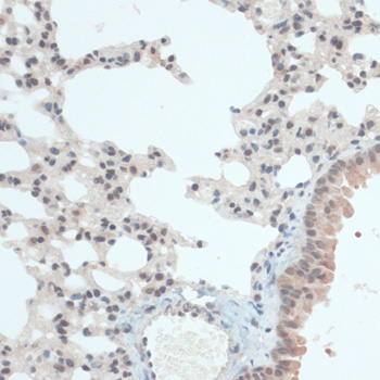
Immunohistochemistry of paraffin-embedded human lung using TXN antibody at dilution of 1:100 .
,

Immunohistochemistry of paraffin-embedded mouse lung using TXN antibody at dilution of 1:100 .
,

Immunohistochemistry of paraffin-embedded mouse testis using TXN antibody at dilution of 1:100 .
风险提示:丁香通仅作为第三方平台,为商家信息发布提供平台空间。用户咨询产品时请注意保护个人信息及财产安全,合理判断,谨慎选购商品,商家和用户对交易行为负责。对于医疗器械类产品,请先查证核实企业经营资质和医疗器械产品注册证情况。
文献和实验Polyclonal Antibody Production
, if desired this is best accomplished by Protein A Affinity Chromatography. 上一篇:make an Antibody against a Peptides 下一篇:Immunization Protocol for Monoclonal Antibody Production
Polyclonal Antibody Production
Polyclonal Antibody Production Very useful for rapid and simple generation of antibodies for western blots, ELISA assays, and immunoprecipitation. Rabbit Immunization Initial Preparation Your antigen
Construction of Polyclonal Antibody Libraries Using Phage Display
Polyclonal antibody libraries (PCALs) are standardized mixtures of antibodies (Abs) specific for an antigen (Ag) or multi-Ag target (a poly-Ag). As the immunoglobulin (Ig) genes are cloned, the mixtures can be perpetuated, amplified
技术资料暂无技术资料 索取技术资料





![PIMREG Polyclonal Antibody[29782]](https://img1.dxycdn.com/p/s14/2025/0923/305/2150219664296040791.jpg!wh200)
![TCF3 Mouse mAb[64301]](https://img1.dxycdn.com/p/s14/2025/0922/632/2321321568067599691.jpg!wh200)
![UBE2U Conjugated Antibody[C43389]](https://img1.dxycdn.com/p/s14/2025/0923/278/4431488150116040791.jpg!wh200)

![LASP1 Antibody[43565]](https://img1.dxycdn.com/p/s14/2025/0922/568/0046652811090600791.jpg!wh200)

