相关产品推荐更多 >
万千商家帮你免费找货
0 人在求购买到急需产品
- 详细信息
- 文献和实验
- 技术资料
- 形态:
liquid
- 保存条件:
Store at -20˚C
- 克隆性:
Monoclonal
- 适应物种:
Human
- 保质期:
12 months
- 抗原来源:
Mouse
- 供应商:
南京赛戈巍生物科技有限公司
- 宿主:
Mouse
- 应用范围:
IHC
- 抗体英文名:
LMO2 Antibody
- 规格:
50ul/100ul
应用详情:Recommended working dilution range:1:100 - 1:200
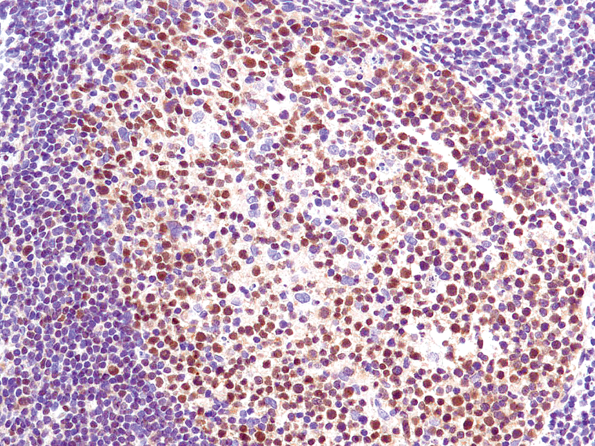
图片:

LMO2 [P1046] on Tonsil
风险提示:丁香通仅作为第三方平台,为商家信息发布提供平台空间。用户咨询产品时请注意保护个人信息及财产安全,合理判断,谨慎选购商品,商家和用户对交易行为负责。对于医疗器械类产品,请先查证核实企业经营资质和医疗器械产品注册证情况。
文献和实验ChIP数据分析:ChIP结果图来PK,谁才是发文的香饽饽?
不同温度条件对组蛋白H3K36me3修饰的整体丰度产生影响。 (Histone H3 lysine 36 methylation affects temperature-induced alternative splicing and flowering in plants) 不同类型(T、M、N、P)样本的H3K27ac修饰分布差异,M组在整体及多个基因的H3K27ac修饰均高于T组。(图片来源:Enhancer Reprogramming Promotes
ELISA原理与实验方法The advantages of the ELISA are similar to other antibody-labeled reactions which include specificity, sensitivity, inexpensiveness, and safety. Since the enzyme label is the critical portion of ELISA, its selection is very important
Phycoerythrin conjugation protocol
Phycoerythrin conjugation protocol David's method modified from references (2) and (3). I used this method to conjugate a mouse IgG2a monoclonal antibody (IB4). It works well. Reagents Ab Antibody
技术资料暂无技术资料 索取技术资料





![TACC3 Conjugated Antibody[C35171]](https://img1.dxycdn.com/p/s14/2025/0923/278/4431488150116040791.jpg!wh200)
![LRRFIP2 Rabbit Polyclonal Antibody[54363]](https://img1.dxycdn.com/p/s14/2025/0922/498/0460884283108299691.jpg!wh200)
![CYTH1 Antibody[37847]](https://img1.dxycdn.com/p/s14/2025/0922/359/6146153295428599691.jpg!wh200)


