相关产品推荐更多 >
万千商家帮你免费找货
0 人在求购买到急需产品
- 详细信息
- 文献和实验
- 技术资料
- 形态:
liquid
- 保存条件:
Store at -20˚C
- 克隆性:
Monoclonal
- 适应物种:
Human
- 保质期:
12 months
- 抗原来源:
Mouse
- 供应商:
南京赛戈巍生物科技有限公司
- 宿主:
Mouse
- 应用范围:
IHC
- 抗体英文名:
FSH Antibody
- 规格:
50ul/100ul
应用详情:Recommended working dilution range:1:100 - 1:200
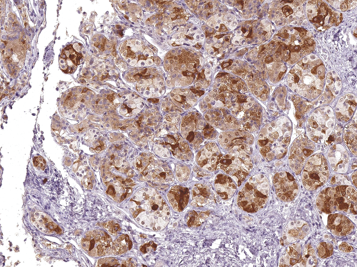
图片:

FSH [P1043] on Pituitary Gland
风险提示:丁香通仅作为第三方平台,为商家信息发布提供平台空间。用户咨询产品时请注意保护个人信息及财产安全,合理判断,谨慎选购商品,商家和用户对交易行为负责。对于医疗器械类产品,请先查证核实企业经营资质和医疗器械产品注册证情况。
文献和实验The Measurement of LH, FSH, and Prolactin
In the clinical laboratory, the reproductive hormones are probably the second most commonly measured hormones after the thyroid hormones. More than 300 laboratories participate in the UK National External Quality Control Scheme. In addition
Assays for LH, FSH, and Prolactin
In the clinical laboratory the reproductive hormones are probably the most commonly measured hormones after the thyroid hormones. More than 300 laboratories participate in the UK National External Quality Control Scheme. In addition
大鼠促卵泡素(FSH ) 酶联免疫分析( ELISA ) 试剂盒使用说明书 本试剂仅供研究使用 目的:本试剂盒用于测定大鼠血清,血浆及相关液体样本中促卵泡素(FSH ) 的 含量。 实验原理: 本试剂盒应用双抗体夹心法测定标本中大鼠促卵泡素( FSH ) 水平。用纯化的大鼠促卵泡素( FSH ) 抗体包被微孔板,制成固相抗体,往包被单抗的微孔中依次加入促卵泡素( FSH
技术资料暂无技术资料 索取技术资料





![GRB14 Conjugated Antibody[C31807]](https://img1.dxycdn.com/p/s14/2025/0923/305/2150219664296040791.jpg!wh200)
![ADH1A Conjugated Antibody[C36075]](https://img1.dxycdn.com/p/s14/2025/0923/278/4431488150116040791.jpg!wh200)
![AICDA Antibody[39314]](https://img1.dxycdn.com/p/s14/2025/0922/359/6146153295428599691.jpg!wh200)
![I-FABP Polyclonal Antibody[46763]](https://img1.dxycdn.com/p/s14/2025/0922/568/0046652811090600791.jpg!wh200)

