相关产品推荐更多 >
万千商家帮你免费找货
0 人在求购买到急需产品
- 详细信息
- 文献和实验
- 技术资料
- 形态:
liquid
- 保存条件:
Store at -20˚C
- 克隆性:
Monoclonal
- 适应物种:
Human
- 保质期:
12 months
- 抗原来源:
Mouse
- 供应商:
南京赛戈巍生物科技有限公司
- 宿主:
Mouse
- 应用范围:
IHC
- 抗体英文名:
PSA Antibody
- 规格:
50ul/100ul
应用详情:Recommended working dilution range:1:100 - 1:200
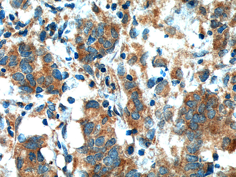
图片:

PSA Antibody (P1025) on Prostate
风险提示:丁香通仅作为第三方平台,为商家信息发布提供平台空间。用户咨询产品时请注意保护个人信息及财产安全,合理判断,谨慎选购商品,商家和用户对交易行为负责。对于医疗器械类产品,请先查证核实企业经营资质和医疗器械产品注册证情况。
文献和实验Prostate cancer is the most common malignancy diagnosed in men in the Western hemisphere. Once early tumors are detected, prognosis is largely unpredictable, and clinicians are currently unable to inform the patient whether his tumour is likely
人前列腺特异性抗原(PSA ) 酶联免疫分析(ELISA ) 试剂盒使用说明书 本试剂仅供研究使用 目的:本试剂盒用于测定人血清,血浆及相关液体样本中前列腺特异性抗原(PSA )的 含量。 实验原理: 本试剂盒应用双抗体夹心法测定标本中人 前列腺特异性抗原(PSA ) 水平。用纯化的人 前列腺特异性抗原(PSA ) 抗体包被微孔板,制成固相抗体,往包被单抗的微孔中依次加入 前列腺特异性抗原(PSA ) ,再与 HRP
上海西唐生物科技有限公司 021-55229872, 65333639 www.westang.com 猪前列腺特异性抗原 ( PSA )ELISA 试剂盒 ( 用于血清、血浆、细胞培养上清液和其它生物体液内 ) 原理 本实验采用双抗体夹心 ABC-ELISA 法。用抗猪 FGF-basic 单抗包被于酶标板上,标准品和样品中的 FGF-basic与单抗结合,加入
技术资料暂无技术资料 索取技术资料





![PVALB Conjugated Antibody[C35902]](https://img1.dxycdn.com/p/s14/2025/0923/278/4431488150116040791.jpg!wh200)
![NFAT2 Conjugated Antibody[C49555]](https://img1.dxycdn.com/p/s14/2025/0923/305/2150219664296040791.jpg!wh200)
![Hexokinase 1 Polyclonal Antibody PE Conjugated[C92098PE]](https://img1.dxycdn.com/p/s14/2025/0922/498/0460884283108299691.jpg!wh200)
![TRIM10 Antibody[40150]](https://img1.dxycdn.com/p/s14/2025/0922/568/0046652811090600791.jpg!wh200)
