相关产品推荐更多 >
万千商家帮你免费找货
0 人在求购买到急需产品
- 详细信息
- 文献和实验
- 技术资料
- 形态:
liquid
- 保存条件:
Store at -20˚C
- 克隆性:
Monoclonal
- 适应物种:
Human
- 保质期:
12 months
- 抗原来源:
Mouse
- 供应商:
南京赛戈巍生物科技有限公司
- 宿主:
Mouse
- 应用范围:
IHC
- 抗体英文名:
Collagen Type IV Antibody
- 规格:
50ul/100ul
应用详情:Recommended working dilution range:1:100 - 1:200
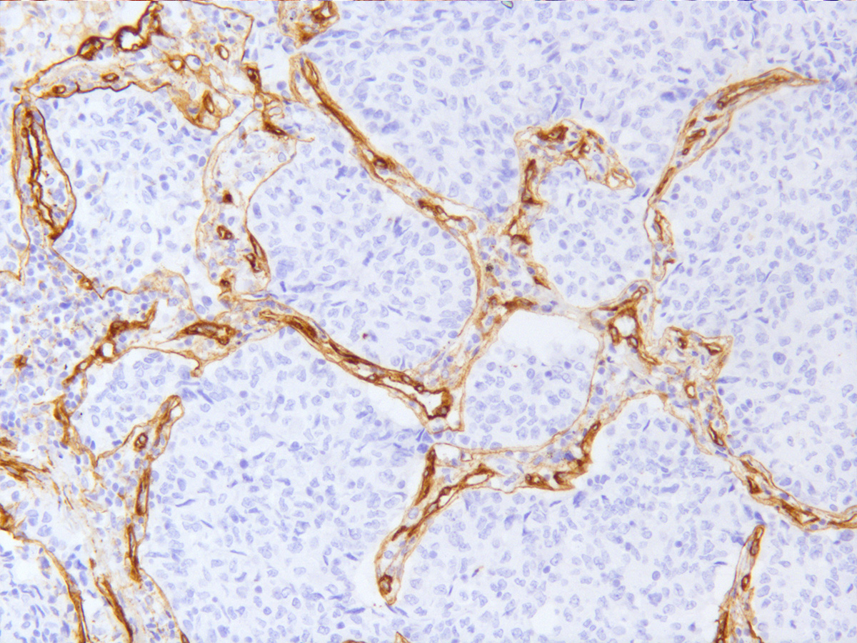
图片:

Collagen Type IV Antibody (P1017) on Lung
风险提示:丁香通仅作为第三方平台,为商家信息发布提供平台空间。用户咨询产品时请注意保护个人信息及财产安全,合理判断,谨慎选购商品,商家和用户对交易行为负责。对于医疗器械类产品,请先查证核实企业经营资质和医疗器械产品注册证情况。
文献和实验Chemical (chem) fixatives and conventional fixation times, used for standardized preservation of tissues, can result in serious alterations to morphology, as a consequence of solubilization and conformational changes of proteins and lipids (Login
Isolation of Bacterial Type IV Machine Subassemblies
The bacterial type IV secretion systems (T4SSs) deliver DNA and protein substrates to bacterial and eukaryotic target cells generally by a mechanism requiring direct contact between donor and target cells. Recent advances in defining
小鼠IV型胶原(Collagen IV)ELISA试剂盒 说明书
上海西唐生物科技有限公司 021-55229872, 65333639 www.westang.com 小鼠IV 型胶原 ( Collagen IV )ELISA 试剂盒 ( 用于血清、血浆、细胞培养上清液和其它生物体液内 ) 原理 本实验采用双抗体夹心 ABC-ELISA 法。用抗小鼠 Collagen IV 单抗包被于酶标板上,标准品和样品中的
技术资料暂无技术资料 索取技术资料





![HSF2BP Rabbit Polyclonal Antibody[53190]](https://img1.dxycdn.com/p/s14/2025/0922/498/0460884283108299691.jpg!wh200)
![CLDN22/24 Antibody[45890]](https://img1.dxycdn.com/p/s14/2025/0922/568/0046652811090600791.jpg!wh200)
![HSP20 (phospho-Ser16) Antibody[13317]](https://img1.dxycdn.com/p/s14/2025/0923/278/4431488150116040791.jpg!wh200)


