相关产品推荐更多 >
万千商家帮你免费找货
0 人在求购买到急需产品
- 详细信息
- 文献和实验
- 技术资料
- 形态:
liquid
- 保存条件:
Store at -20˚C
- 克隆性:
Monoclonal
- 适应物种:
Human
- 保质期:
12 months
- 抗原来源:
Mouse
- 供应商:
南京赛戈巍生物科技有限公司
- 宿主:
Mouse
- 应用范围:
IHC
- 抗体英文名:
CD57 Antibody
- 规格:
50ul/100ul
应用详情:Recommended working dilution range:1:100 - 1:200
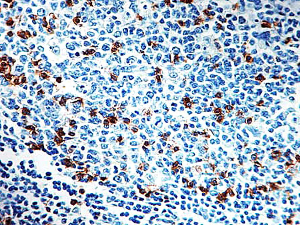
图片:

CD57 Antibody (P1016) on Hodgkin's Lymphoma
风险提示:丁香通仅作为第三方平台,为商家信息发布提供平台空间。用户咨询产品时请注意保护个人信息及财产安全,合理判断,谨慎选购商品,商家和用户对交易行为负责。对于医疗器械类产品,请先查证核实企业经营资质和医疗器械产品注册证情况。
文献和实验CD57 分子 CD57 常用单克隆抗体或代号: Leu7,HNK- 1 主要表达细胞: NKsub,Tsub [NK] 分子质量(kDa)和结构: gp110 功 能: 参与NK活化后的杀伤作用 CD57 Aka Leu7 Glycoprotein with cell adhesion functions NK cell marker and neuroendocrine marker
16+ NK 细胞比例,并监测了细胞表面受体的差异表达,包括 CD8、CD11c、CD38、CD57 和 CD117,及其表达水平。样品制备:1. 加入 35 mL 新鲜人血(取自血库)和 20 mLPBS。2. 向 50 mL 锥形试管中加入 15 mL Ficoll-Paque,并转移 35 mL 经过 PBS 稀释的血样。3. 以室温 400 x G 持续离心试管 30 分钟。4. 用一个 (10-25 mL) 移液器或塑料的巴斯德吸管轻轻从试管中吸取间期细胞,并转移到一个新的 50 mL 锥形试管
三句话读懂一篇 CNS,伟哥能延长寿命,昆虫偷窃植物基因,基因治疗预防肿瘤转移,...
(2021). https://doi.org/10.1016/j.cmet.2021.03.004.4. Silvia Benito-Kwiecinski et al, An early cell shape transition drives evolutionary expansion of the human forebrain, Cell (2021). https://doi.org/10.1016/j.cell.2021.02.050.5. Yue Liu et al, Chimeric
技术资料暂无技术资料 索取技术资料





![CELF6 Polyclonal Antibody[30159]](https://img1.dxycdn.com/p/s14/2025/0923/305/2150219664296040791.jpg!wh200)
![PTPζ Polyclonal Conjugated Antibody[C41370]](https://img1.dxycdn.com/p/s14/2025/0923/278/4431488150116040791.jpg!wh200)
![Rabbit Anti-Donkey IgG (H&L) - AF647[L35456]](https://img1.dxycdn.com/p/s14/2025/0922/498/0460884283108299691.jpg!wh200)

