相关产品推荐更多 >
万千商家帮你免费找货
0 人在求购买到急需产品
- 详细信息
- 文献和实验
- 技术资料
- 形态:
liquid
- 保存条件:
Store at -20˚C
- 克隆性:
Monoclonal
- 适应物种:
Human
- 保质期:
12 months
- 抗原来源:
Mouse
- 供应商:
南京赛戈巍生物科技有限公司
- 宿主:
Mouse
- 应用范围:
IHC
- 抗体英文名:
KBA.62 (Melanoma Associated Antigen) Antibody
- 规格:
50ul/100ul
应用详情:Recommended working dilution range:1:100 - 1:200
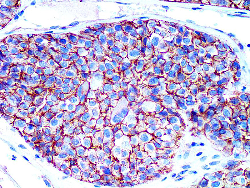
图片:

KBA.62 (Melanoma Associated Antigen) Antibody (P1009) on Melanoma
风险提示:丁香通仅作为第三方平台,为商家信息发布提供平台空间。用户咨询产品时请注意保护个人信息及财产安全,合理判断,谨慎选购商品,商家和用户对交易行为负责。对于医疗器械类产品,请先查证核实企业经营资质和医疗器械产品注册证情况。
文献和实验Biolistic DNA Vaccination Against Melanoma
We describe here the use of particle-mediated gene transfer for the induction of immune responses against melanoma antigens in murine tumor models using the melanocyte differentiation antigen tyrosinase-related protein 2 (TRP2) as an antigen
protein),E-选择素还结合CD62P配体CDl62(PSGL-1),后者表达于淋巴细胞、中性粒细胞和单核细胞。皮肤淋巴细胞相关抗原(cutaneous lymphocyte associated antigen,CLA)归巢受体是慢性炎症皮肤部位表达的E-选择素的受体。CD62E主要介导白细胞(中性粒细胞、单核细胞和CD4+记忆性T细胞)在内皮细胞表面最初的滞留和滚动,以及随后迁移到炎症的组织。
Delivery of Tumor-Antigen-Encoding mRNA into Dendritic Cells for Vaccination
MART-1/Melan-A as a model tumor-associated antigen for the generation of a DC-based vaccine against melanoma cancer. In addition to efficient antigen loading, it is important to obtain a maximal number of potent antigen-presenting cells
技术资料暂无技术资料 索取技术资料





![Caspase-1 Conjugated Antibody[C48847]](https://img1.dxycdn.com/p/s14/2025/0923/305/2150219664296040791.jpg!wh200)

![CSF2 Rabbit Polyclonal Antibody[54974]](https://img1.dxycdn.com/p/s14/2025/0922/498/0460884283108299691.jpg!wh200)
![Rab25 Mouse mAb[64155]](https://img1.dxycdn.com/p/s14/2025/0922/632/2321321568067599691.jpg!wh200)
