相关产品推荐更多 >
万千商家帮你免费找货
0 人在求购买到急需产品
- 详细信息
- 技术资料
- 免疫原:
recombinant protein
- 形态:
liquid
- 保存条件:
Store at -20˚C
- 克隆性:
Monoclonal antibody
- 适应物种:
Human;Mouse;Rat
- 保质期:
12 months
- 抗原来源:
Recombinant Rabbit
- 供应商:
南京赛戈巍生物科技有限公司
- 宿主:
Recombinant Rabbit
- 应用范围:
WB, IHC, IP, FC
- 靶点:
Uniprot:Q15118
- 抗体英文名:
PDK1 Rabbit mAb
- 规格:
50ul/100ul
配方:1*TBS (pH7.4), 1%BSA, 40%Glycerol. Preservative: 0.05% Sodium Azide.
应用详情:WB: 1:500-1:2,000
IHC: 1:50-1:200
ICC:1:50-1:200
FC: 1:50-1:100
图片:
![PDK1 Rabbit mAb[49573]](https://img1.dxycdn.com/p/s14/2025/0923/142/8803788994239140791.jpg)
Western blot analysis of PDK1 on rat heart tissue lysate using anti-PDK1 antibody at 1/1,000 dilution.
,
![PDK1 Rabbit mAb[49573]](https://img1.dxycdn.com/p/s14/2025/0923/248/2559728047239140791.jpg)
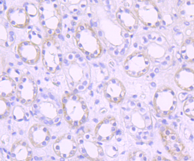
Immunohistochemical analysis of paraffin-embedded human kidney tissue using anti-PDK1 antibody. Counter stained with hematoxylin.
,
![PDK1 Rabbit mAb[49573]](https://img1.dxycdn.com/p/s14/2025/0923/770/2992569687239140791.jpg)
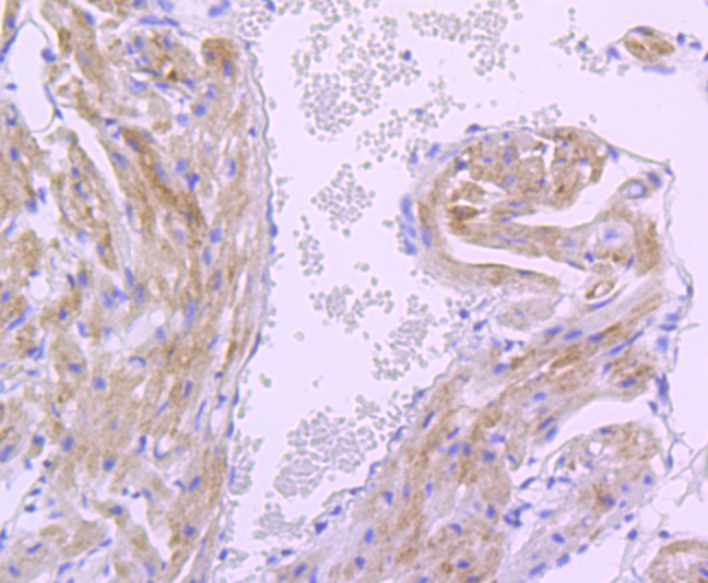
Immunohistochemical analysis of paraffin-embedded mouse heart tissue using anti-PDK1 antibody. Counter stained with hematoxylin.
,
![PDK1 Rabbit mAb[49573]](https://img1.dxycdn.com/p/s14/2025/0923/334/0272412425239140791.jpg)
ICC staining PDK1 in Hela cells (green). The nuclear counter stain is DAPI (blue). Cells were fixed in paraformaldehyde, permeabilised with 0.25% Triton X100/PBS.
,
![PDK1 Rabbit mAb[49573]](https://img1.dxycdn.com/p/s14/2025/0923/296/0481797635239140791.jpg)
ICC staining PDK1 in NIH-3T3 cells (green). The nuclear counter stain is DAPI (blue). Cells were fixed in paraformaldehyde, permeabilised with 0.25% Triton X100/PBS.
,
![PDK1 Rabbit mAb[49573]](https://img1.dxycdn.com/p/s14/2025/0923/336/2365274525239140791.jpg)
Flow cytometric analysis of NIH-3T3 cells with PDK1 antibody at 1/100 dilution (red) compared with an unlabelled control (cells without incubation with primary antibody; black).
风险提示:丁香通仅作为第三方平台,为商家信息发布提供平台空间。用户咨询产品时请注意保护个人信息及财产安全,合理判断,谨慎选购商品,商家和用户对交易行为负责。对于医疗器械类产品,请先查证核实企业经营资质和医疗器械产品注册证情况。
技术资料暂无技术资料 索取技术资料


![PDK1 Rabbit mAb[49573]](https://img1.dxycdn.com/p/s14/2025/0923/496/0462304380155040791.jpg)


![Basigin Polyclonal Antibody[42549]](https://img1.dxycdn.com/p/s14/2025/0922/568/0046652811090600791.jpg!wh200)
![GEMIN2 antibody[38570]](https://img1.dxycdn.com/p/s14/2025/0922/359/6146153295428599691.jpg!wh200)
![EHMT2 Conjugated Antibody[C56905]](https://img1.dxycdn.com/p/s14/2025/0922/632/2321321568067599691.jpg!wh200)
![Prealbumin Conjugated Antibody[C49356]](https://img1.dxycdn.com/p/s14/2025/0923/305/2150219664296040791.jpg!wh200)
