相关产品推荐更多 >
万千商家帮你免费找货
0 人在求购买到急需产品
- 详细信息
- 技术资料
- 免疫原:
Synthetic phospho-peptide corresponding to residues surrounding Ser2 of human POLR2A.
- 形态:
liquid
- 保存条件:
Store at -20˚C
- 克隆性:
Monoclonal
- 适应物种:
Human;Mouse;Rat
- 保质期:
12 months
- 抗原来源:
Recombinant Rabbit
- 供应商:
南京赛戈巍生物科技有限公司
- 宿主:
Recombinant Rabbit
- 应用范围:
WB;ICC/IF;IHC;FC
- 靶点:
Uniprot:P24928
- 抗体英文名:
POLR2A (Phospho-S2) Rabbit mAb
- 规格:
50ul/100ul
DNA-directed RNA polymerase II largest subunit RNA polymerase II 220 kd subunit antibody
DNA-directed RNA polymerase II subunit A antibody
DNA-directed RNA polymerase II subunit RPB1 antibody
DNA-directed RNA polymerase III largest subunit antibody
hRPB220 antibody
hsRPB1 antibody
POLR2 antibody
Polr2a antibody
POLRA antibody
Polymerase (RNA) II (DNA directed) polypeptide A 220kDa antibody
Polymerase (RNA) II (DNA directed) polypeptide A antibody
RNA polymerase II subunit B1 antibody
RNA-directed RNA polymerase II subunit RPB1 antibody
RPB1 antibody
RPB1_HUMAN antibody
RPBh1 antibody
RpIILS antibody
RPO2 antibody
RPOL2 antibody
计算分子量:217 kDa
配方:1*TBS (pH7.4), 1%BSA, 40%Glycerol. Preservative: 0.05% Sodium Azide.
应用详情:WB: 1:500-1:2000
ICC/IF: 1:50-1:200
IHC: 1:50-1:200
图片:

Western blot analysis of Phospho-POLR2A (S2) on differnt cells lysates using anti- Phospho-POLR2A (S2) antibody at 1/500 dilution. Positive control??
Line 1: Hela
Line 2: MCF-7
,

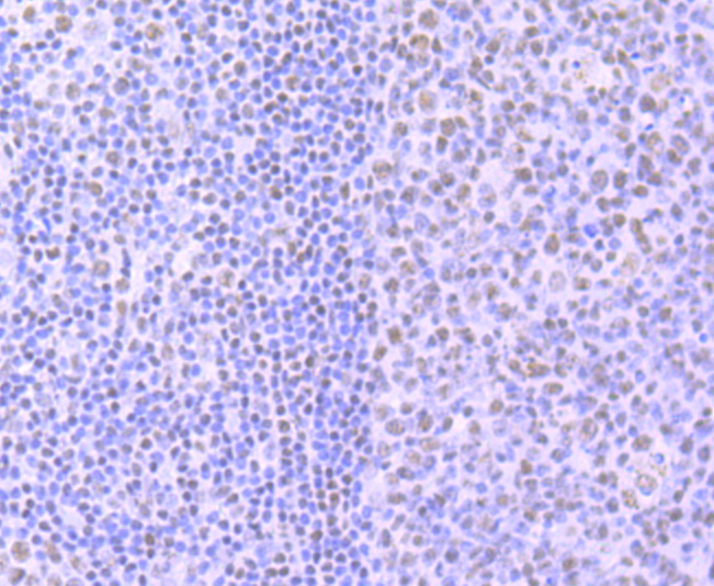
Immunohistochemical analysis of paraffin-embedded human tonsil tissue using anti-Phospho-POLR2A (S2) antibody. Counter stained with hematoxylin.
,

Immunohistochemical analysis of paraffin-embedded rat brain tissue using anti-Phospho-POLR2A (S2) antibody. Counter stained with hematoxylin.
,

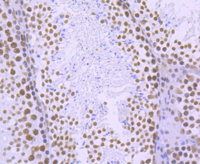
Immunohistochemical analysis of paraffin-embedded mouse testis tissue using anti-Phospho-POLR2A (S2) antibody. Counter stained with hematoxylin.
,

ICC staining Phospho-POLR2A (S2) in Hela cells (red). The nuclear counter stain is DAPI (blue). Cells were fixed in paraformaldehyde, permeabilised with 0.25% Triton X100/PBS.
,

ICC staining Phospho-POLR2A (S2) in MCF-7 cells (red). The nuclear counter stain is DAPI (blue). Cells were fixed in paraformaldehyde, permeabilised with 0.25% Triton X100/PBS.
,

ICC staining Phospho-POLR2A (S2) in PC-12 cells (red). The nuclear counter stain is DAPI (blue). Cells were fixed in paraformaldehyde, permeabilised with 0.25% Triton X100/PBS.
,

Flow cytometric analysis of Hela cells with Phospho-POLR2A (S2) antibody at 1/50 dilution (red) compared with an unlabelled control (cells without incubation with primary antibody; black). Alexa Fluor 488-conjugated goat anti rabbit IgG was used as the secondary antibody.
风险提示:丁香通仅作为第三方平台,为商家信息发布提供平台空间。用户咨询产品时请注意保护个人信息及财产安全,合理判断,谨慎选购商品,商家和用户对交易行为负责。对于医疗器械类产品,请先查证核实企业经营资质和医疗器械产品注册证情况。
技术资料暂无技术资料 索取技术资料


![Phospho-POLR2A (S2) Rabbit mAb[13430]](https://img1.dxycdn.com/p/s14/2025/0923/496/0462304380155040791.jpg)


![NR2F2 Conjugated Antibody[C40203]](https://img1.dxycdn.com/p/s14/2025/0923/278/4431488150116040791.jpg!wh200)
![AHNAK Mouse mAb[63034]](https://img1.dxycdn.com/p/s14/2025/0922/632/2321321568067599691.jpg!wh200)
![ZBTB4 Antibody[43968]](https://img1.dxycdn.com/p/s14/2025/0922/568/0046652811090600791.jpg!wh200)
![TP53I11 Rabbit Polyclonal Antibody[53449]](https://img1.dxycdn.com/p/s14/2025/0922/498/0460884283108299691.jpg!wh200)
