相关产品推荐更多 >
万千商家帮你免费找货
0 人在求购买到急需产品
- 详细信息
- 技术资料
- 免疫原:
recombinant protein
- 形态:
liquid
- 保存条件:
Store at -20˚C
- 克隆性:
Monoclonal antibody
- 适应物种:
Human;Mouse;Rat
- 保质期:
12 months
- 抗原来源:
Recombinant Rabbit
- 供应商:
南京赛戈巍生物科技有限公司
- 宿主:
Recombinant Rabbit
- 应用范围:
WB, ICC/IF, IHC, FC, IP
- 靶点:
Uniprot:P20333
- 抗体英文名:
TNF Receptor II Rabbit mAb
- 规格:
50ul/100ul
p75 antibody
p75 TNF receptor antibody
p75TNFR antibody
p80 TNF alpha receptor antibody
p80 TNF-alpha receptor antibody
Soluble TNFR1B variant 1 antibody
TBP-2 antibody
TBPII antibody
TNF R II antibody
TNF R2 antibody
TNF R75 antibody
TNF-R2 antibody
TNF-RII antibody
TNFBR antibody
TNFR-II antibody
TNFR1B antibody
TNFR2 antibody
TNFR80 antibody
TNFRII antibody
Tnfrsf1b antibody
TNR1B_HUMAN antibody
Tumor necrosis factor beta receptor antibody
Tumor necrosis factor receptor 2 antibody
Tumor necrosis factor receptor superfamily member 1B antibody
Tumor necrosis factor receptor type II antibody
Tumor necrosis factor-binding protein 2 antibody
计算分子量:73 kDa
配方:1*TBS (pH7.4), 1%BSA, 40%Glycerol. Preservative: 0.05% Sodium Azide.
应用详情:WB: 1:500-1:2,000
IHC: 1:50-1:200
ICC: 1:50-1:200
IP: 1:10-1:50
FC: 1:50-1:100
图片:

Western blot analysis of TNF Receptor II on different cells lysates using anti-TNF Receptor II antibody at 1/500 dilution. Positive control??
Line 1: MCF-7
Line 2: Jurkat
,

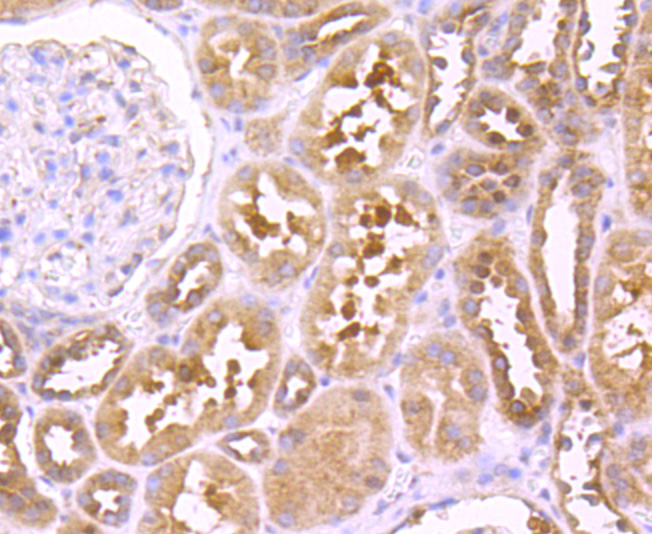
Immunohistochemical analysis of paraffin-embedded human kidney tissue using anti-TNF Receptor II antibody. Counter stained with hematoxylin.
,

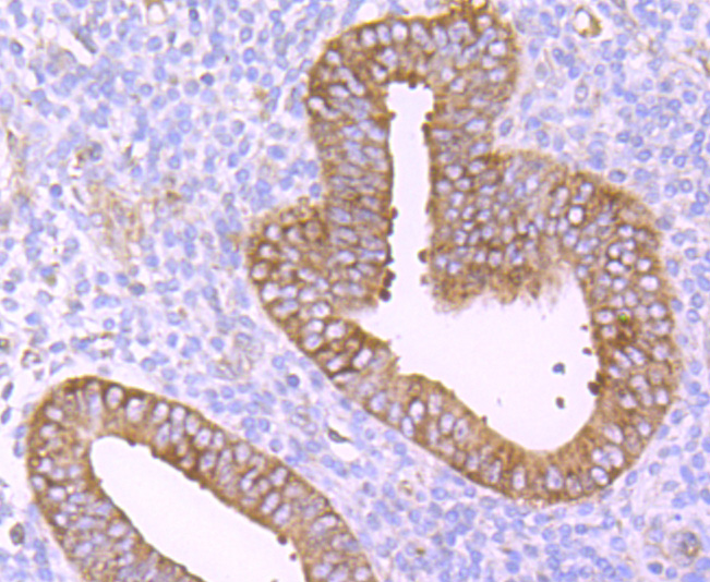
Immunohistochemical analysis of paraffin-embedded human uterus tissue using anti-TNF Receptor II antibody. Counter stained with hematoxylin.
,

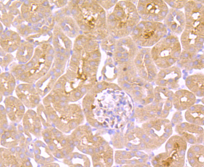
Immunohistochemical analysis of paraffin-embedded mouse kidney tissue anti-TNF Receptor II antibody. Counter stained with hematoxylin.
,

ICC staining TNF Receptor II in MCF-7 cells (red). The nuclear counter stain is DAPI (blue). Cells were fixed in paraformaldehyde, permeabilised with 0.25% Triton X100/PBS.
,

ICC staining TNF Receptor II in Hela cells (red). The nuclear counter stain is DAPI (blue). Cells were fixed in paraformaldehyde, permeabilised with 0.25% Triton X100/PBS.
,

ICC staining TNF Receptor II in SW480 cells (red). The nuclear counter stain is DAPI (blue). Cells were fixed in paraformaldehyde, permeabilised with 0.25% Triton X100/PBS.
,

Flow cytometric analysis of HL-60 cells with TNF Receptor II antibody at 1/50 dilution (red) compared with an unlabelled control (cells without incubation with primary antibody; black). Alexa Fluor 488-conjugated goat anti rabbit IgG was used as the secondary antibody.
风险提示:丁香通仅作为第三方平台,为商家信息发布提供平台空间。用户咨询产品时请注意保护个人信息及财产安全,合理判断,谨慎选购商品,商家和用户对交易行为负责。对于医疗器械类产品,请先查证核实企业经营资质和医疗器械产品注册证情况。
技术资料暂无技术资料 索取技术资料


![TNF Receptor II Rabbit mAb[49476]](https://img1.dxycdn.com/p/s14/2025/0923/496/0462304380155040791.jpg)


![gp91-phox Polyclonal Antibody[41769]](https://img1.dxycdn.com/p/s14/2025/0922/568/0046652811090600791.jpg!wh200)
![DTL Antibody[46556]](https://img1.dxycdn.com/p/s14/2025/0923/496/0462304380155040791.jpg!wh200)
![IL-2 Polyclonal Antibody Cy3 Conjugated[C90467Cy3]](https://img1.dxycdn.com/p/s14/2025/0922/498/0460884283108299691.jpg!wh200)
